“72小时”— 3D打印矫形导航器问世
2016-06-15 文章来源:重庆西南医院关节外科 何锐 我要说
第三军医大学西南医院关节外科“快速反应部队”完成国内首例3D打印导航器辅助下复杂股骨畸形矫形与全髋关节置换同期手术。
个体化截骨矫形导航器是四肢长骨严重畸形截骨矫形手术的理想工具,但传统制作技术由于国外技术壁垒,造成耗时长,制作周期通常在3-6个月,还不包括向国外传输数据,国际邮递等不可控延时因素,高昂的费用更是令国内患者望而却步(请自行脑补人民币与欧美货币的汇率)。随着近年来3D打印技术在医疗领域内普及,与成熟的工程师团队进行深度合作后个体化截骨矫形导航器不再是“猴年马月”的“大器晚成”,在第三军医大学西南医院关节外科主任杨柳教授领导的“3D打印医疗需求快速响应团队”里,从获取原始骨骼CT数据到完成截骨导向器CAD设计仅需24小时,接下来的48小时就由重庆光学机械研究所何鹏高级工程师与西北有色金属研究院汤慧萍教授各自领导的快速反应团队接力进行3D打印快速成形,并完成医学标准灭菌。72小时后就能实现个体化截骨矫形导航器“出炉”直达手术台。
2016年5月17日,来自遵义市的赵女士切身体验到了这一快速高效精准医学技术所带来的好处。赵女士64岁,7天前不幸摔倒导致左侧股骨颈骨折(图1)

颈骨折是老年女性常见骨折,但是她辗转于贵州几家医院均未得到确切的治疗方案。原因是(图2)

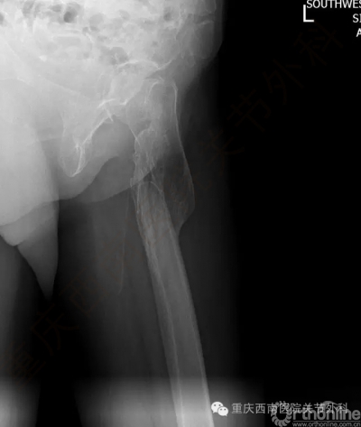
1996年的车祸导致她左侧股骨骨折形成严重的畸形愈合,股骨前后错开,髓腔封闭,类似“双截棍”,脊柱固定侧弯(图3)。

如果按照传统的手术方法需要首先截断股骨重新复位,然后劈开髓腔封闭处放入以放入人工股骨柄,最后使用钢缆捆绑固定。其结果变成为了治疗一个部位的骨折,必须医源性造成其他两个部位的额外骨折,手术创伤大风险高,术后需要卧床3个月到半年,并发症尤其是感染的发病率高。
如果她能使用上个体化截骨导航器,就能精准判断出畸形髓腔的中心点,从而绕开硬化封闭的髓腔,使用常规髋关节置换手术技术即可完成手术,避免了广泛的切开,额外的截骨,大大减少手术创伤,手术安全准确,康复更加迅速。抱着这一希望,2016年5月13日她来到西南医院关节外科。5月14日接受下肢CT三维重建扫描后,关节外科范华全工程师在杨柳教授的指导下准确迅速的完成了截骨导航器设计(图4)。

5月15日导航器CAD数据传送至15公里之外的重庆市光学机械研究所,进行适当后续处理后开始一比一等比例打印成形。5月15日晚截骨导航器打印完毕并送至患者病房。5月16日杨柳教授检查导航器,并进行细节比对、术前模拟测试无误后送至西南医院供应室灭菌准备12小时(图5)。

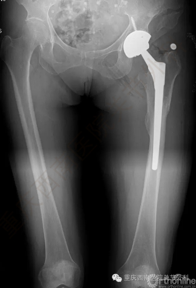
5月17日上午9:30,杨柳教授为赵女士实施了个体化导航器辅助下的全髋关节置换术。(图6)

手术耗时1小时50分钟,术中失血量100ml。术后第二天患者下地部分负重行走训练,5天患者康复出院。术后X片如图。


杨柳教授表示,科技应当以人为本,因此3D打印技术更需要植根于医学领域,尤其是在个体化精准医疗中3D打印与计算机辅助具备医工结合的天然优势,医疗专家负责临床需求牵引,需要具备创新的思维与敏锐的洞悉,将临床疾病治疗中的难点提出来。工程师需要不厌其烦的与临床专家讨论,理解临床医学语言,共同寻求解决方案并付诸计算机设计,最后通过3D打印快速成形技术将智慧迅速凝结成实体,再进入下一个循环的医工结合研讨周期。通过不断的螺旋形上升,最终达到现在的72小时响应机制。在治疗病人的过程中,时间是宝贵的,多学科交叉合作最忌时间节点不清,72小时的研发周期,并不是一定要求72小时完成,而是给参与其中的团队一个明确的时间节点,以利环节质量控制,更重要的是以研发再带动临床医疗思维的火花,彻底摆脱慢节奏的医工结合泥潭,真正实现对多环节生产力的解放。
视频1:术后3天功能情况
视频2:术后三周功能情况





京公网安备11010502051256号