骨延长的探密
2019-01-10 文章来源:中国人民解放军总医院 作者:彭烨 我要说
本文探讨滑轮技术与磁力髓内钉,探究骨延长的秘密。
都说骨科医生是木匠、铁匠
天天用电锯、锤子、水泥什么的......


殊不知,却是有智慧的木匠、铁匠!
下面就来给大家展示一下骨科医生的智慧
今天来了一个棘手的病例

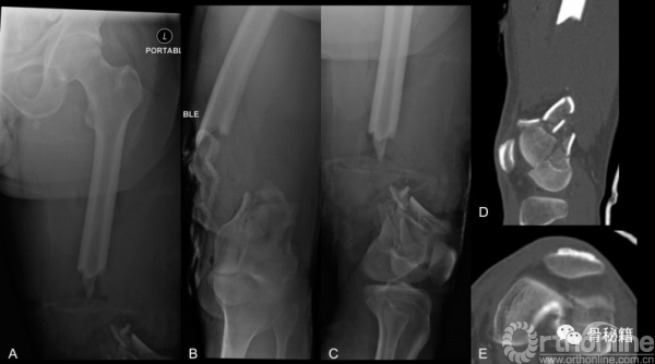
54岁男性,开放骨折,摩托车伤
股骨前方8X5cm的伤口,13-cm的骨缺损
股骨髁远端粉碎骨折
怎么办??
一期进行清创+外固定维持力线和长度+抗生素骨水泥
二期再次清创+骨水泥占位+远端拉力螺钉稳定关节面骨折块

难道是想用masquelet技术?
13cm的骨缺损,那得取多少骨头啊,多久才能负重啊,头疼头疼。
磁力髓内钉技术每次延长也有限,难道要做三次手术?也划不来啊
这个时候......
聪明机智、力量与智慧并重的骨科大夫就想到了
磁力髓内钉与滑轮技术的完美结合!
物理学霸与木匠骨科的结合
到底是怎么结合的呢?
重点来了!
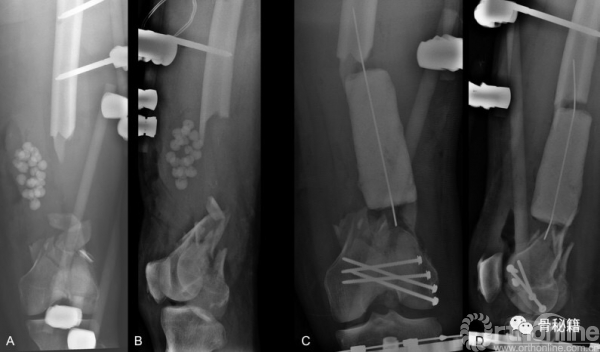
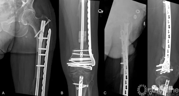
首先,感染控制住了,更换了内固定+磁力髓内钉+一组滑轮


由于远端大量骨缺损,先行了Liss钢板固定远端
同时给与近端股骨磁力髓内钉,同时进行截骨
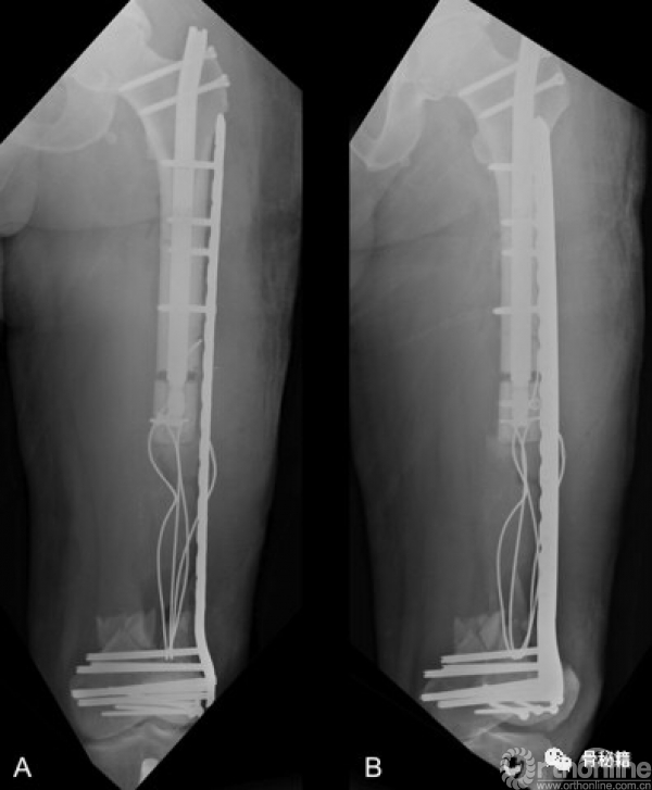
滑轮是将截骨近端和远端锁定进行了一个套索,但是远端选择了游离

按照此路径进行了骨延长后,可见骨的生长,截骨块已经延长了一部分


此时去掉了髓内钉远端的锁定,将髓内钉稍微短缩了一些,露出远端的锁定孔
将捆绑线穿过髓内钉的远端锁钉控,继续延长到了髓内钉的极限位置


将滑轮组翻转,一端再髓内捆绑到髓内钉的远端,另外一段经过远端锁定孔后固定于骨折块,然后进行髓内钉的短缩,就通过滑轮原理继续进行了骨折块的搬移
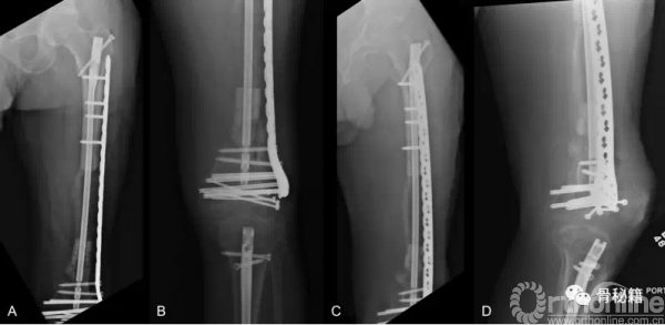
通过漫长的搬移,终于骨折断端接触了
更换全长的髓内钉来进行稳定骨折

术后13个月随访,骨搬移矿化良好

一根可延长髓内钉,就完成了整个手术
不用带外架,患者耐受度高
力线完美维持
内固定与外固定的经典结合
在没有更好的器械的时候,
佛系建议
骨科医生一定要敢想敢干
给你一个髓内钉和钢板
你就能搞定所有的骨折

发挥所学,努力创新
不要忘了
我们是力量与智慧并重的骨科医生
共勉
挥泪分享干货
髋臼改良Stoppa入路关键11步
步骤1 患者采用平卧位,消毒铺单后
步骤2 进行近端皮下的扩展和游离
步骤3 用电刀进行腹直肌支点的部分游离,同时注意用压肠板保护膀胱
步骤4 置放第一把板勾在耻骨联合上方,
步骤5 分离并且结扎死亡之冠
步骤6 剥离髂耻筋膜
步骤7 置放第二把拉钩
步骤8 置放第三把拉钩
步骤9 闭孔神经的显露
步骤10 解剖闭孔内肌
步骤11 置放第四把拉钩



京公网安备11010502051256号