图示髋臼发育不良的影像学表现
2020-06-03 文章来源:骨科在线 我要说
髋臼发育不良(acetabular dysplasia,AD)系因髋臼发育缺陷造成髋臼对股骨头的覆盖不良,主要表现为髋臼外上方和前方缺损,髋臼变浅,髋关节中心外移。由于髋臼对股骨头覆盖率降低,髋臼和股骨头关节面对合关系不正常,最后导致关节面的接触应力增高和关节软骨退变而引起骨性关节炎。本期内容将介绍髋臼发育不良的X线、CT及MRI的表现。
X线片

右侧髋臼发育不良
右髋正位片,示右侧髋臼变浅,Sharp角增大,髋臼覆盖率降低,CE角变小

双侧髋臼发育不良伴退行性骨关节病
双髋正位片,示双侧髋臼变浅,Sharp角增大,左股骨头外上方半脱位,髋臼顶关节面下均见边缘硬化之囊变,间隙均变窄,股骨头稍变扁,股骨颈干角稍增大

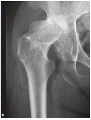
右侧髋臼发育不良伴退行性骨关节病
a.右髋正位片,示右髋臼变浅,髋顶变短,Sharp角增大,股骨头外翻并外上方移位,间隙变窄,髋臼缘骨质增生硬化,股骨头周围骨质增生;
髋臼发育浅小或浅平,顶唇短小,髋臼覆盖率降低,中心边缘角(CE角)减小。股骨颈干角增大,股骨头的负重点外移,髋关节的内侧间隙加宽,关节呈半脱位或全脱位。髋臼顶外侧缘骨质发育不良,臼盖嘴消失,臼盖白线呈外高内低之斜线,Sharp角增大。髋臼边缘增生硬化,股骨头及髋臼软骨下可见假囊肿,股骨头及髋臼边缘可见骨质增生。
CT

右侧髋臼发育不良伴退行性骨关节病
CT平扫,示髋臼前后唇变短,同时更清楚显示股骨头关节面下囊变,周围骨赘形成及髋臼骨质增生硬化

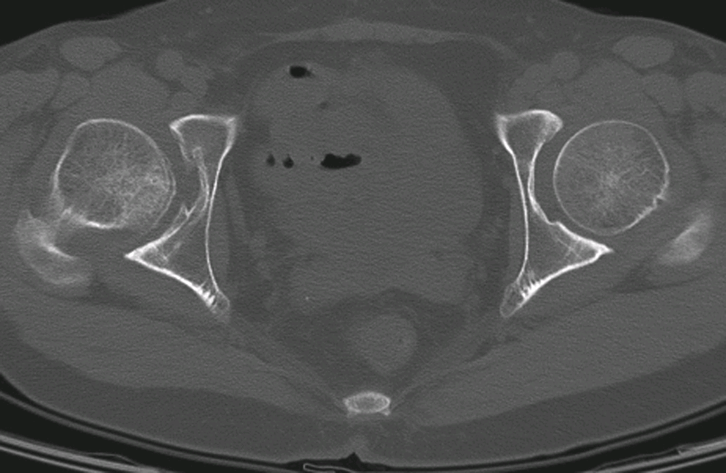
双侧髋臼发育不良伴退行性骨关节病
CT平扫,示双侧髋臼前断面角变小,头臼包容差,髋臼及股骨头轻度骨质增生
髋臼前断面角变小,后断面角小于正常;股骨头顶部层面见不到顶唇,且前后唇变短;股骨头稍向前方移位;伴发关节退行性改变,可见关节间隙变窄,关节面硬化并关节面下囊变,同时髋臼前唇和上部边缘可见骨质增生。有时可合并关节积液。
MRI


双侧髋臼发育不良
a. MRI横轴位T1WI,示前断面角变小;b.冠状位T2WI,示髋臼稍变浅,Sharp角增大
髋臼窝浅平,冠状位示Sharp角增大,横断位前断面角及后断面角皆变小。顶唇和(或)前后唇短小;髋臼前上缘骨质增生,呈短T1及混杂短T2低信号;髋臼前上缘或上缘软骨下可见单囊或多囊灶,呈长T1或稍长T1低信号、长或稍长T2信号,抑脂像上呈高信号。关节内有时可见长T1、长T2积液。
来源:髋关节影像诊断学(第2版)
作者:黄耀华



京公网安备11010502051256号