老年“一跛四折”骨松骨折病例分析与思考
2024-12-19 作者:潘哲尔 我要说
骨质疏松性骨折是中老年常见的骨骼疾病,也是骨质疏松症的严重阶段,具有发病率高、致残致死率高、医疗花费高的特点,给患者、家庭和社会造成了沉重的负担。本病例旨在分享一位复杂骨质疏松性骨折患者的诊疗经验。
临床病例分析
一、病史概要
患者为79岁女性,因“跛行跌倒致右肩部及左腕部肿痛伴活动受限1天”入院。既往有多次骨折及多种基础疾病病史,5年前跌倒致右股骨颈骨折,行右侧全髋关节置换术;3年前扭伤致腰椎压缩性骨折,保守治疗;患有肝硬化、高血压、糖尿病、神经衰弱等疾病,长期不规则服药。本次受伤前右髋部疼痛,行走跛行,右下肢缩短约1.5厘米。
二、体格检查
右肩及左腕关节局部肿胀明显,压痛及叩击痛阳性,活动受限明显,肢端感觉血运可。
三、辅助检查
1、影像学检查




术前肱骨头CT




术前腕关节CT




2、实验室检查
白蛋白28.7g/L↓;丙氨酸氨基转移酶29U/L;天冬氨酸氨基转移酶50U/L↑;肌酐(酶法)55μmol/L;尿素氮4.0mmol/L;CRP(比浊法)14.40mg/L↑;血沉47mm/h↑。

3、骨密度检查

四、临床诊断
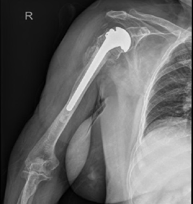
1、右肱骨近端骨折(Neer 4部分)
2、左桡骨远端骨折
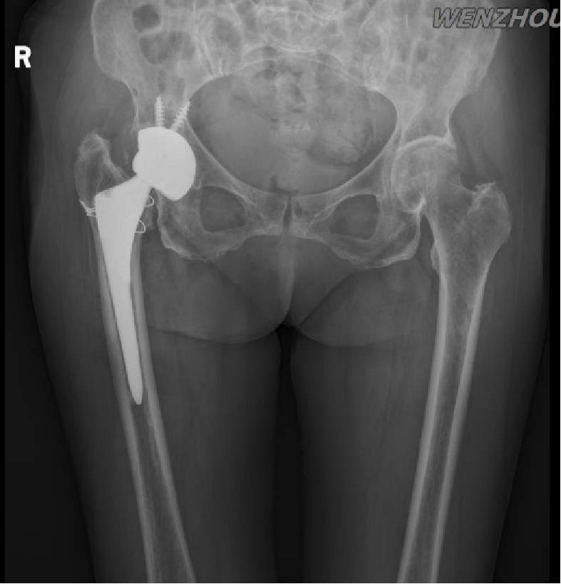
3、右人工髋关节置换术后,假体松动
4、腰椎2、3压缩性骨折(陈旧性)
5、肝硬化(代偿期)
6、高血压病
7、2型糖尿病
8、神经衰弱
五、治疗方案探讨
1、重点处理新鲜骨折
肱骨近端骨折治疗选择--内固定重建?关节置换(半肩?反肩?)
2、右髋关节(THA)术后假体松动
考虑患者全身情况及局部骨量,决定待全身及局部骨量改善后2期行翻修手术。
3、治疗方案确定
综合患者耐受及依从性、骨折类型及粉碎程度、骨量情况、重建后稳定性及康复等因素,决定行右人工肱骨头置换术(半肩置换)及左桡骨远端骨折切复内固定术。
六、术前准备
1、全身准备:输成分RBC,输血浆、白蛋白;保肝治疗、镇痛。
2、多次复查血象,ESR,CRP,评估患者炎症及全身状况。
3、与家属充分沟通,告知病情治疗方案及预后。
七、手术治疗
1、行右人工肱骨头置换术(半肩置换),术后影像学检查

2、左桡骨远端骨折切复内固定术


八、术后处理
1、常规抗炎,抗凝,消肿镇痛等对症治疗。
2、早期抗骨松药物干预治疗,使用地舒单抗针,辅以钙片、活性VD等基础药物治疗。
3、右肩关节支具固定,被动功能锻炼;左腕关节主动功能锻炼。
九、术后复查
术后1月复查,患者一般情况可,伤口愈合良好,骨折端位置稳定,肩关节及腕关节功能逐渐恢复。

十、病例思考
(一)肌少-骨质疏松症




(二)老年骨松性骨折整体干预理念
老年骨松骨折治疗难点包括患者因素(老年/高龄、众多内科基础疾病、骨质疏松状态、创伤应激)和治疗因素(手术应激、骨折复位、固定稳定性、基础病围术期干预、康复)。
骨质疏松骨折的治疗原则包括复位、固定、功能锻炼及抗骨质疏松治疗。相比于手术技术,围手术期管理同等甚至更为重要,包括手术时机、抗凝、血液管理、镇痛管理、预防感染以及ERAS等。同时,应重视长期抗骨质疏松治疗,监测治疗依从性和疗效,如定期进行骨密度检测、骨转换生化标志物测定、脊椎影像学检查等。

(三)抗骨质疏松药物选择
地舒单抗具有快速强效提升骨密度、显著降低骨折和再骨折风险、减少术后骨丢失等优点,且半年一次皮下注射,患者满意度高、依从性好;另外耐受良好,无急性期副作用、罕见胃肠道副反应,也不经过肝肾代谢,适用更广人群。
十、总结
骨质疏松症与肌少症是老年人骨肌肉系统中常见的健康问题,两者之间存在密切的相互关联,互为因果,相互促进。因此,在治疗骨折的过程中,不仅要重视骨质疏松症的治疗与预防,还应关注肌少-骨质疏松症的联合干预,实现肌骨同步治疗,即共病同治。同时,加强围手术期的管理也至关重要,这有助于提高患者的生活质量,并降低再次发生骨折的风险。



京公网安备11010502051256号