一例血友病外翻、强直膝合并关节外畸形、骨质疏松症行全膝关节置换的病例分享
2024-12-19 作者:吕帅洁 我要说
血友病性关节炎是血友病患者常见的并发症之一,常导致关节疼痛、畸形和功能障碍。全膝关节置换术是治疗晚期血友病性关节炎的有效方法,但对于合并外翻、强直膝、关节外畸形及骨质疏松症的患者,手术难度和风险显著增加。本文通过对一例此类患者的病例分享,探讨其诊断、治疗及相关问题。
临床病例分析
一、病史概要
患者为38岁男性,因“右膝关节反复疼痛5年,加重伴活动受限1年”入院。既往确诊血友病A型病史28年,平素予重组人凝血因子Ⅷ按需替代治疗。17年前右股骨远端骨折,保守治疗后骨折畸形愈合。其父母体健,弟弟有血友病A型病史,有遗传倾向的疾病。
二、检查
1、查体:跛行,右下肢外翻畸形,右膝关节内外侧压痛,关节肿胀明显,屈曲30度位强直,其余查体无法完成。左膝关节无明显疼痛,活动度30-60度。
2、实验室检查

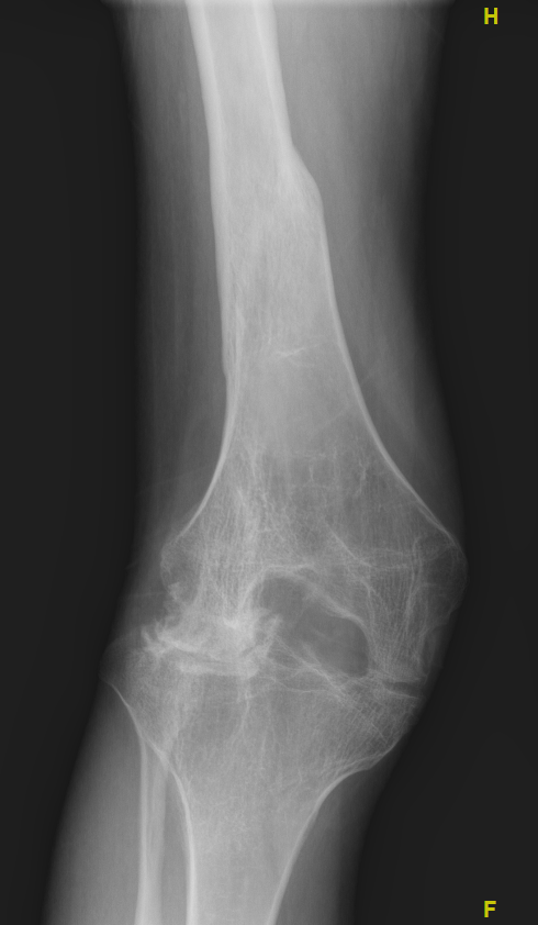
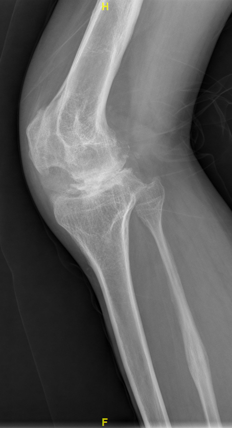
3、影像学检查
检查结果显示右下肢外翻畸形15度,股骨远端关节外畸形5度,髌股关节骨性融合,膝关节畸形发育。




4、骨密度检查
骨密度值:T值=-2.6~-2.57

5、术前资料




三、临床诊断
1、右膝血友病性关节炎
2、血友病A型
3、骨质疏松症
四、治疗策略
1、手术指征:患者主诉“右膝关节反复疼痛5年,加重伴活动受限1年”,目前右膝关节疼痛,畸形,活动受限,严重影响生活。根据改良的Arnold-Hilgartner关节病变分级,属于V级,具有手术指征。

2、手术禁忌:患者全身无活动性炎症存在,切口局部皮肤条件可,术前检验检查未见绝对手术禁忌。
3、假体选择:患者关节畸形明显,具有骨质疏松,但考虑患者年龄,首选后稳定性膝关节假体(术中备限制性假体)。
4、手术方案:患者为血友病,软组织条件差,且膝关节强直合并关节外畸形,考虑到术中可能显露困难,无法完成常规的股骨髓内定位,结合使用3D打印导板来辅助截骨。
5、血友病药物治疗:根据围手术期间重组人凝血因子Ⅷ替代治疗方案,实时调整、监测凝血因子Ⅷ浓度。


6、骨质疏松药物治疗:地舒单抗可以减少骨松患者TKA术后的假体周围骨丢失,降低术后早期假体移位风险。


使用抗骨松药物显著降低TKA手术翻修率

五、治疗方法
1、手术治疗过程
术中髌股关节骨性融合,逐步显露;



摆锯分离髌股关节 外翻困难 股四头肌Z字延长术
由于股骨远端骨折畸形愈合,根据术前规划,使用3D打印截骨导板,完成股骨远端截骨;


股骨远端截骨 骨质疏松表现
术中因骨质疏松,发生外侧副韧带止点撕脱性骨折。采用强生带线锚钉固定。


锚钉固定 撕脱性骨块
2、药物治疗过程

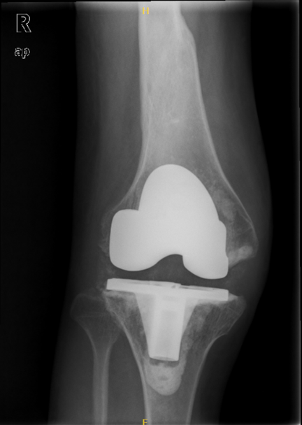
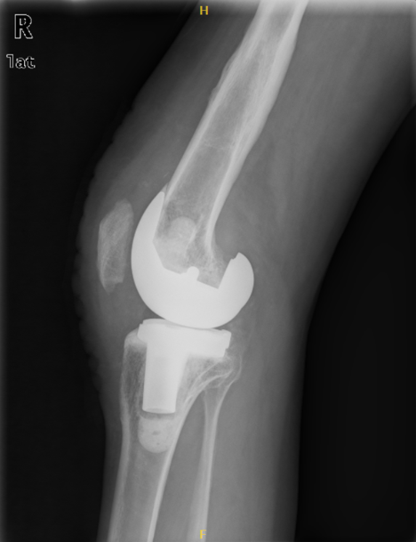
六、术后资料
1、术后影像



2、骨密度检查
T值从-2.57~-2.6,提升到-2.0~-2.01


T值=-2.6~-2.57 T值=-2.01~-2.0
3、骨代谢标志物六项检查
直接标志物
形成标志物:骨钙素 ↑ 总I型胶原氨基端延长肽 ↑
间接标志物
甲状旁腺素 ↑ 降钙素 ↑


3、术后3年复查



六、总结
1、血友病性骨关节炎患者,其骨质疏松常常多种致病因素:
第一,血友病患者因担心活动后出血,因此大部分患者缺乏运动,加上关节出血后需卧床制动休息,容易发生废用性骨质疏松。
第二,血友病患者较普通人群容易发生低钙、低维生素D、低BMI,从而影响骨形成。
第三,血友病患者凝血因子缺乏与异常骨重塑相关,由于凝血酶生成减少,影响蛋白酶激活受体1信号通路的下传而影响骨的形成。
2、对骨质疏松的血友病患者行全膝关节置换,需时刻警惕骨松相关并发症的发生。
首先,术前需严谨规划,充分准备假体、锚钉、钢缆、螺钉等材料,应对术中可能发生的意外。
其次,术中需谨慎操作,避免医源性骨折的发生,并具备丰富的经验处理可能出现的膝关节周围骨折。
同时,术后需要适度保护,同时配合抗骨质疏松治疗,提高患者的骨质,降低膝关节假体的松动率。
最后,抗骨质疏松治疗可以减轻患者术后疼痛,促进膝关节功能恢复,预防再骨折等。
七、病例思考
1、哪些患者需要在TKA前,进行骨质疏松评估?
对于骨质疏松症的高风险人群,在TKA术前建议进行常规的骨质疏松评估。根据流行病学数据显示,高风险人群包括增龄/高龄患者、女性绝经、脆性骨折家族史、不健康生活方式、患有影响骨代谢的疾病、服用影响骨代谢的药物等。
2、骨质疏松,对TKA患者预后有什么影响?
对于TKA患者而言,骨质疏松对假体的生存率/翻修率有重要影响。一项涉及418,054名TKA患者的数据库研究表现,骨质疏松症患者的5年全因翻修手术率(HR 1.1, 95%CI:1.0至1.2)高于无菌性松动、假体周围感染等因素。同时,骨质疏松症患者因无菌性松动(HR 1.2,95%CI:1.1至1.3)和假体周围感染((HR 1.2,95%CI:1.1至1.3)的翻修手术风险也升高。在控制年龄、性别和合并症后,骨质疏松症患者在TKA后5年翻修的风险比假体周围骨折高了近2倍。
3、对于合并有膝外翻畸形、关节外畸形、强直膝的血友病患者行全膝关节置换,术中需注意什么?
血友病患者往往皮肤条件较差,术中及术后需关注切口皮肤,避免出现坏死、不愈合等。
血友病患者大多膝关节发育异常,骨质条件差,术中应step by step,避免过度截骨。
强直膝患者常合并关节的骨性融合,显露过程中需注意各部位骨量的分配,避免髌骨骨折发生。
合并有多部位畸形的复杂膝关节置换,可利用3D打印导板、手术机器人等辅助手段,提高手术准确性,降低手术难度。



京公网安备11010502051256号