Jump to navigation
学会分会
上传文件
手机版
常见问题
评论排行
返回顶部
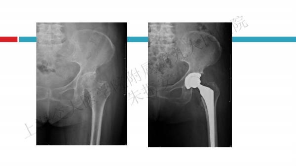
2014-07-09 文章来源:上海交大医学院附属第九人民医院 朱振安 作者:朱振安 我要说
骨科在线 北京经纬在线网络科技有限公司
京ICP备15001394号-2 京公网安备11010502051256号
信息产业部备案管理系统
地址:北京市朝阳区朝阳门北大街乙12号1号楼8层08公寓H
联系电话:010-85615836
Email:orth@orthonline.com.cn