外科技术与生物医学结合给股骨头坏死治疗希望
2016-08-09 文章来源:南京军区南京总医院 赵建宁 南京市第一医院 黄河 我要说
导语:股骨头坏死(ONFH)是一种进展性破坏性疾病,早期诊断和早期治疗是获得最佳疗效的前提。而选择正确的ONFH分级标准,确定ONFH的部位、范围和程度,选择合适的个体化治疗方案则是治疗的关键所在.近年来成人ONFH的治疗方法已经取得较大进展,笔者就ONFH的诊治标准、临床分级、治疗方法以及未来的诊治前景予以综述,旨在进一步提高对ONFH的临床认识和治疗水平。
一、ONFH的历史与沿革
Munro首次描述该病(1738年) ;
Curveilhier首次描述股骨头血供破坏之后股骨头的外形变化(1835年);
Mankin 首次大规模报道股骨头坏死的诊断治疗情况 (1962年);
二、ONFH的发病情况
美国每年新增ONFH患者15,000例,髋关节置换中约有5-18%为ONFH的患者;
日本每年到各级医疗机构寻求治疗的ONFH患者约为114,00例;
台湾髋关节置换中近50%为ONFH的患者;
男/女患病率大约为7/3,双侧发病占比约为75%
三、ONFH的病理机制
1.创伤性ONFH
10%-25%创伤所致的髋关节脱位;10%无移位股骨颈骨折;15%-50% 有移位的股骨颈骨折

2.非创伤性ONFH
20%-40%酗酒;35%-40%皮质类固醇治疗;20%-40%为特发性。

ONFH的病理机制至今不明,存在多种假说,其根本在于骨吸收与骨形成的失衡。
ONFH病理发展的关键在于股骨头的塌陷,推测其病理生理的特点:股骨头血供受损→破骨细胞活跃,成骨细胞凋亡→骨坏死→骨修复启动→新生血管向病损区长入→成骨细胞活跃→新骨形成→病损外周新骨密度及厚度逐渐增加→形成屏障→阻止血管继续侵入→骨修复进程中断→坏死区中心囊性改变,小梁骨脆弱→股骨头塌陷。
因此,骨再生及血运重建是治疗ONFH的关键。
四、ONFH的诊断
早期诊断对治疗方法的选择及其判断预后极其重要。
1.症状及体征:早期可无症状,随病情发展可出现腹股沟部疼痛,有时可放射到同侧的膝部及臀部;体格检查可见髋关节的活动受限,尤其是内旋时可诱发髋部疼痛。
2.影像学检查: 髋部正位片及蛙式位片仍是重要的诊断手段,正位片最初的阳性表现为头下的硬化带及囊性改变,由于正位片中髋臼前后缘与股骨头上方存在重叠,有可能导致病损区显示不清,因此蛙式位片不可或缺,随着病情发展,软骨下骨与软骨分层,X片上则表现为新月征的特点;由于疾病早期X片可无阳性表现,MRI是目前诊断ONFH的“金标准”,其特征性体现在T1加权像上的低密度信号以及T2加权像的高密度信号,是坏死骨与活性骨的交界处出现大量富含血管的肉芽组织的表现。

囊性变及硬化带

新月征

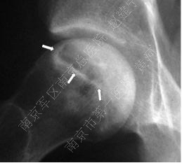
病损周围环绕硬化带(白箭头)软骨下骨折(黑箭头)以及关节间隙狭窄(细长白箭头)

股骨头坏死进展性变化:病损周围硬化带
(白箭头),关节面塌陷,关节间隙严重狭窄,
髋臼软骨下囊肿形成(细箭头)

T-1 W可见ONFH典型的“条带状”低信号,T-2 W可见双侧股骨头“双线征”表现,外层高信号而内层为低信号

X片无异常,但T-1 W可见典型的条带状低信号改变

平片中可见软骨下骨硬化,边缘不清;T-1 W则可清晰显示病损范围
预后的判断:病损区体积的大小是判断ONFH预后的重要参数,基于髋关节MR之上的改良Kerboul测量法在临床上应用的较为广泛,A与B之和(联合坏死角)如大于200°,通常预示着股骨头的塌陷及病情的进展。

五、ONFH的分型
良好的分型应能同时满足制定治疗原则、评价疗效以及判断预后的需要。目前,ONFH的分型虽然很多,每种分型均有自身的特点,但依据Steinberg的研究,还没有任何一种分型能够做到对ONFH进行“充分评估(adequate evaluation)”, 既能反应ONFH的分期,又能准确体现病损的大小及关节受损的状态。
1.Ficat & Arlet 分型
0期:X片正常(静息髋)
I期:轻微异常,可存在暗区或骨质减少
II期:硬化或骨囊肿
IIa 无新月征
IIb 新月征出现但无股骨头扁平
III期:股骨头扁平或塌陷
IV期:股骨头塌陷,髋关节骨性关节炎改变(关节间隙狭窄、骨赘)
2.Steinberg分型
0期: X片、骨扫描及MR表现正常
I期: X片正常,骨扫描及MR 异常
IA 轻度,股骨头病损区< 15%
IB 中度,股骨头病损区在15%-30%之间
IC 重度,股骨头病损区> 30%
II期: 股骨头内出现囊性变及硬化带
IIA 轻度,股骨头病损区< 15%
IIB 中度,股骨头病损区在15%-30%之间
IIC 重度,股骨头病损区> 30%
III期:软骨下塌陷,出现新月征,但股骨头未见扁平
IIIA 轻度,股骨头病损区< 15%
IIIB 中度,股骨头病损区在15%-30%之间
IIIC 重度,股骨头病损区> 30%
IV期:股骨头扁平,关节面塌陷
IV A 轻度,股骨头病损区< 15%
IV B 中度,股骨头病损区在15%-30%之间
IV C 重度,股骨头病损区> 30%
V期: 关节间隙狭窄和(或)髋臼软骨发生改变
VI期:进展性的关节退变,关节间隙几近消失,股骨头严重变形
3.ARCO分型
0 期: 活检结果符合坏死,其余检查正常
I期: 骨扫描及MR 阳性
IA MR股骨头病损区< 15%
IB MR股骨头病损区在15%-30%之间
IC MR股骨头病损区> 30%
II期:股骨头斑片状密度不均、硬化与囊肿形成,平片与CT扫描没有塌陷表现 ,骨扫描及MR 阳性,髋臼无变化
IIA MR股骨头病损区< 15%
IIB MR股骨头病损区在15%-30%之间
IIC MR股骨头病损区> 30%
III期:出现新月征和(或)股骨头塌陷
IIIA 新月征小于股骨头15% ,或塌陷<2mm
IIIB 新月征占股骨头15%-30%之间,或塌陷在2-4mm之间
IIIC 新月征大于股骨头 30% ,或塌陷>4mm
IV期:股骨头扁平,关节面塌陷,关节间隙狭窄,骨赘增生,骨性关节炎改变
4.中日医院(CJFH)分型
CJFH分型将股骨头分为三柱,有助于决定是否采取保髋治疗以及采取何种保髋治疗。M型:坏死局限于内侧柱;C型:坏死区波及内侧柱及中柱;L1型:坏死区覆盖内外侧及中柱,但外侧柱大部保留;L2型:坏死区波及整个外侧柱及部分中柱;L3型:三柱均被累及,包括皮质及髓质。

5.JIC(Japanese Ivestigation Committee)分型
A型:病损只占负重区的1/3;B型:病损占负重区2/3;C1和C2型病损均超过负重区2/3以上,C2型病损更延至股骨头外侧区。所谓负重区即指通过髋臼缘及泪滴底部连线的垂直中线以外的区域。
该分型更适合于判断是否适合行转子间旋转或弧形截骨。

总结:理想的分型应能满足如下条件:简单可靠;可重复;准确反映病理的变化;精确定义病损区的体积;显示关节面的波及范围;描述股骨头塌陷的程度;评估关节间隙的狭窄程度及髋臼受累的状况。
但目前尚无公认的理想分型。
六、ONFH的鉴别诊断
1.一过性髋关节骨髓水肿综合征(transient bone marrow edema syndrome,TBME)
Curtiss于1959年首次报道在妊娠后期的患者中发现以一过性的髋部骨质去矿化为特征的一系列综合症。
Lequesne于1968年将其命名为一过性髋关节骨质疏松症(transient osteoporosis of the hip,TOH),发现患者多在髋部疼痛3-6周后其平片出现骨质疏松的表现,但生化及血清学指标多无异常。
由于MR的普及,1988年Wilson首次使用一过性骨髓水肿综合征(transient bone marrow edema syndrome,TBME)这一术语,其与TOH唯一的区别就在于TBME在X片上无骨质疏松的表现,但TOH在症状初期也不表现出骨松的迹象,且并非所有TOH的患者都存在骨松,因此两者的界限并不明晰。
TBME病理机制至今不清楚,目前存在3种推测:神经源性受压,非创伤性交感神经营养不良,局部充血导致静脉回流障碍。
TBME常以髋部和腹股沟突然的疼痛起病,可放射至大腿,多无外伤史,好发于40-60岁的男性,症状多经保守治疗后4-9个月后逐渐消退,保守治疗包括限制负重、口服抗骨吸收及镇痛类药物,髓芯减压有助于在4周内缓解病人的疼痛,组织学检查可发现局部的炎性浸润、骨吸收及新骨生成,尽管也有骨细胞的凋亡,但TBME通常能完全恢复而不会出现骨坏死的改变。
多数学者倾向于认为TBME为自限性,属于可逆转的股骨头坏死早期,但也有学者认为TBME同样可能向股骨头坏死后期进展,最终出现头部塌陷等ONFH的典型表现。
ONFH与TBME在MR表现上的区别:ONFH多为双侧发病(72%);软骨下病损低信号区(至少4mm厚,12.5mm长);T2-W像有典型的双线征(80%),T1-W像则表现为软骨下低信号带,ONFH常以典型的低信号带为最初表现,多数并无弥漫性的骨髓水肿。TBME多无软骨下病损区,即便有范围也较小,通常厚不足4mm,长不足12.5mm;多数患者有明显的关节积液;髋臼可有累及(17%);多为单侧;长期的关节液渗出导致周围软组织改变。
至今,ONFH与TBME的鉴别诊断仍较为困难,可采取排除法。

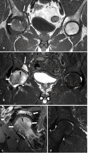
58岁男性。(a, b) T1-W及T1快速翻转恢复图像(STIR)均可见右侧股骨头内弥漫性的骨髓水肿(粗箭头),同时软骨下可见线性的低信号(小箭头),甚至髋臼区亦可见骨髓水肿信号(细长箭头)。(c) 脂肪增强抑制T1-W自旋回波图像(SE)显示股骨头及髋臼弥漫性骨髓水肿信号(箭头),软骨下线性改变(黑箭头)以及髂腰肌滑囊炎性改变信号(粗箭头)。(d) 11个月后T1 STIR图像见骨髓水肿区已完全消失。

45岁,长期服用皮质类固醇激素,左髋疼痛2月。T1-W(a)及脂肪抑制T2-W像(b)均可见左髋股骨头内有典型的条带状信号(粗黑箭头)以及弥漫性的骨髓水肿(粗白箭头);在无症状的右髋中也可见到这一典型的条带状信号(均为细箭头),但并无骨髓水肿改变,表明ONFH尚处于病变的早期阶段。
2.软骨下应力性骨折(subchondral insufficiency fracture,SIF)
软骨下应力骨折,可以造成股骨头的塌陷,在诊断为ONFH而行髋置换的患者中占5-10%,但ONFH存在不可逆的进展,最终必然造成髋关节永久性的废用,而SIF既可表现出病情进展的特点,引起股骨头的塌陷,但也可随时间推移而完全消退
与ONFH类似,SIF典型的MR 表现同样为T1-W像中条带状的低信号并伴有骨髓水肿。
SIF的低信号条带多为不规则形、匍行、不连续、凸向关节面;ONFH的条带多较平滑、凹陷,并呈局限性。

七、ONFH的治疗
1.非手术治疗
(1)药物治疗:
降脂药物:他汀类,降低脂肪细胞的数量及体积,并对长期服用激素药物的患者发挥保护效应。
抗凝药物:如依诺肝素,抑制血小板聚集,增加缺血区的血流量。
血管活性剂:如依前列醇,扩张血管以改善末端血管的血流。
双磷酸盐:如阿仑磷酸钠,抑制破骨细胞活性,在外科手术治疗的基础上,作为辅助用药,能阻止早期股骨头的塌陷,并能缓解髋部疼痛。
(2)物理治疗:
体外冲击波(ESWT):恢复组织供氧,减少骨髓水肿,诱导血管生成。
脉冲电磁疗法:可促进坏死区骨及血管的生成。
高压氧(HBO):增加细胞外的氧浓度,通过诱导血管的收缩缓解细胞的缺血及水肿。
2.PART II 手术治疗
(1)髓芯减压(core decompression, CD)
1985年Ficat本为确诊ONFH而行的组织活检术,至今仍为治疗早期ONFH最为常用的外科技术,其形成的骨隧道为各种植骨术提供了路径。
手术的目的在于减少股骨头内压力,恢复正常血供,手术入路、钻孔数及直径各家报道均有不同,目前多个小直径钻孔被推荐,被认为更容易到达股骨头前方(坏死区),且创伤小,减少损伤软骨的风险,避免了转子下骨折的可能。
CD可缓解疼痛,但在阻止股骨头塌陷方面的作用仍存在较大争议。

(2) 截骨
ONFH的截骨原则是纠正股骨头半脱位,恢复同心圆结构,减少负重时对坏死区的刺激。
目前临床上常用的截骨有经转子间旋转截骨(transtrochanteric osteotomy ,TRO) 及经转子间弧形内翻截骨curved varus osteotomy (CVO)两种。
TRO根据股骨轴线将股骨头颈向前方或后方旋转,使坏死区的软骨移出负重区,代之以健康的软骨。旋前或旋后取决于侧位片对坏死区的显示,如坏死位于负重区前方,则采用前方旋转截骨,反之同理。Ikemura报道优良率达80%以上。

CVO目的与TRO类似,试图将外侧相对健康的骨与软骨转移至负重区,与TRO相比,CVO能调整的范围较小,但优点是降低了对股骨头血供破坏的风险,对技术的要求也不高。

(3)非血管性骨移植
1930年Phemister首先使用非血管性移植骨(单纯腓骨)治疗股骨头坏死,该术式至今仍在临床广泛使用,但技术在不断改进,以减少术后并发症,提高疗效。
治疗目的:坏死组织清除后植入,提供股骨头下的结构支持,并作为诱导骨祖细胞黏附的支架,促进新骨形成。
多项研究认为,采用不带血管的腓骨移植治疗ONFH,其疗效不如带血管的腓骨移植。
(4)血管性骨移植
目的:建立新的血供,加快骨的爬行替代,促进骨诱导祖细胞长入,活化坏死组织,恢复软骨下骨的健康。临床上最常用的有以下三种:

带血管蒂髂棘移植骨(iliac crest vascularized graft, ICVG):清除死骨后将带有旋髂深动脉的髂棘移植骨,经腹股沟韧带穿过髂肌,于股二头肌反折头上方植入头内。Eisenschenk报道,80例患者HHS术后评分86.8%达到优良,超过半数随访中未见进展;Hasegawa随访8年,术后HSS评分达到优良的占63%,仅比CD略好,与单纯腓骨移植无差别。
带血管蒂大粗隆移植骨(greater trochanter vascularized graft,GTVG):清除死骨后将带有旋股外侧动脉横支的大粗隆移植骨自头颈交界处开窗植入。Zhao对191例患者随访8年,最终只有23例患者再次行全髋置换,118例患者病情未见进展。

A DSA显示旋股外侧动脉穿支;B)DSA显示股骨头供血不足,但旋股外侧动脉穿支状态良好;C)术后DSA显示带有旋股外侧动脉穿支的大粗隆已植入股骨头内;D)DSA显示股骨头内血管再生。
游离腓骨移植(free vascularized fibular graft,FVFG):侧卧位,前外侧弧形入路,解剖分离出旋股外侧动脉升支及伴行静脉,C臂机监视下自股骨近端外侧向颈内制备骨隧道,移除死骨,显露同侧腓骨,将带有腓动静脉血管的腓骨游离,植入骨隧道中,吻合血管。Judet对60例患者进行了18年的随访,仅52%效果良好,但40岁以下患者的成功率可达80%,Ficat II期、III期的成功率也能达80%,提示病人的选择对治疗效果的影响;Urbaniak也持相同看法,其224例患者中,Ficat I和II期的成功率达到88%,而III期和IV期患者的成功率则降到78%。

(5)钽棒
目的:髓芯减压的基础上提供股骨头软骨下的结构支持,钽棒的多孔表面能够促进骨的长入,避免股骨头进一步的塌陷,无需植入自体或异体骨。
病人的选择:早期,无股骨头塌陷,ARCO I期或II期的患者。
早期的报道较为乐观,Veillete对44例患者的随访发现,24个月时股骨头存活率达91.8%,但48个月时的存活率降到68.1%。近年来质疑增加,Floerkemeier随访发现钽棒治疗并不比单纯髓芯减压的疗效更好,Tanzer在对钽棒植入后失败的患者行关节置换时发现,钽棒的多孔结构并未使骨长入增多,软骨下的的力学支持也不尽如人意。
Lee则探讨了钽棒植入失败后关节置换可能存在的困难,包括钽棒取出困难、易造成股骨近端骨折、增加手术时间、增加术中及术后的出血、难以清除的金属残留、造成股骨外侧皮质的缺损,等等。

A 钽棒取出装置;B 连同钽棒自股骨颈部切断;C 顺行将残留钽棒打出;D 关节置换术后X片显示外侧皮质缺损。

A 逆行取出钽棒;B 环锯沿钽棒扩钻,产生大量金属颗粒(箭头);C 关节置换术后X片显示粗隆骨折,环扎固定。
(6)外科技术的综合运用
Zhao 采用带血管蒂的髂骨及大转子联合植入治疗已发生股骨头塌陷的ONFH患者(3例),20年随访显示出优异的疗效;
Matsusaki 采用ICVG结合TRO治疗超过2/3负重区发生坏死的ONFH患者(17髋),4年的随访中71%的股骨头未见病情的进展;
Noguchi 同样采用ICVG结合TRO治疗超过2/3负重区发生坏死的ONFH患者(10例),与单纯的ICVG治疗(4例)相比,在平均一年的随访期间,后者股骨头坏死发生进展性变化的占75%,而前者只有20%。
这一类的探索开阔了外科治疗ONFH的思维,但样本较小,未来仍需进一步观察。
3.生物治疗
分子生物学研究的爆炸式进展丰富了ONFH的治疗手段和思路,目前关于ONFH生物治疗的研究主要集中在以下方面:
(1)细胞因子类:包括白细胞介素类,肿瘤坏死因子,成纤维细胞生长因子,血小板来源的各类生长因子,胰岛素样生长因子以及各类转化生长因子
(2)骨形态发生蛋白类
Sun将ONFH患者分成两组,均采用light bulb技术清除股骨头内坏死组织,一组填充人工骨,另一组人工骨加重组人骨形态发生蛋白(rhBMP-2),6年的随访发现后组无论在股骨头的存活率上,还是髋部的功能上均明显优于前组。

(3)促血管生成因子类
VEGF是极其重要的血管再生控制因子,但目前仍处于实验阶段。
(4)干细胞类
髓芯减压及干细胞灌注
Hernigou 2002年首次采用髓芯减压后将骨髓间充质干细胞(mesenchymal stem cells, MSCs)注入的治疗方法,189例经过7年的随访,属Ficat I或II期的145髋中仅9例需再次接受髋关节置换,属于III和IV期的44髋中有25例需接受再次手术;间充质干细胞具有多向分化的特点,多个研究显示MSCs确实有助于ONFH的骨再生,其中来源于骨髓的间充质干细胞在临床上应用的最为广泛;
但Lim提出了质疑,他的研究结果显示,与单纯髓芯减压相比,联合注入干细胞并未体现出疗效的优越性。
目前间充质干细胞植入人体的方法大致有两类:一类是通过减压后的骨隧道直接注入,另一类则是通过相关的动脉进行灌注,显然后者需要更精准的操作技术。
干细胞的选择性动脉灌注
选择性动脉灌注骨髓干细胞可保护血管内皮,促进血管内皮细胞的再生和修复,改善静脉回流,减少股骨头内的压力,恢复股骨头血供。
Mao将骨髓干细胞通过旋股内侧动脉灌注,经过随访,62例患者78髋取得了92.31%的优良疗效,只有6髋需要接受髋关节置换。
干细胞结合骨组织工程技术
组织工程是细胞生物学与生物工程学的有机结合,将活性细胞种植于具有良好生物相容性及可生物降解的天然或人工的聚合物支架上,最后植入体内,用以修复或重建病损组织。
Kawate将自体骨髓干细胞与ß-三磷酸钙陶瓷(ß-TCP)共培养,与游离腓骨共同植入股骨头内病损处,34个月的随访结果发现,3例患者(术前均存在股骨头的塌陷)股骨头坏死未再进展,且骨再生现象明显。
转基因干细胞
仍在实验室研究阶段,但未来将能给ONFH的临床治疗提供有力的手段。
Wen将兔的肝细胞生长因子转录自体骨髓干细胞并将其植入ONFH的病损区,无论是血运的重建还是骨的再生均有明显的改善。
尽管细胞治疗无论在基础研究还是临床应用上都展现了令人乐观的前景,但目前亟待廓清的疑点在于究竟是因为前体细胞在数量上和功能上的改变触发了ONFH的发生还是因为原发性ONFH的发生导致了前体细胞生物学功能的改变,如果是前者,则不能对干细胞的治疗过于乐观。
4.有关ONFH的研究将会对治疗产生影响
1) Lee发现,对于非创伤所致的ONFH,在酒精诱导或原发性ONFH的患者中,其骨髓间充质干细胞的成骨分化能力是降低的,但在皮质类固醇诱导的ONFH的中却是提高的---提示对于ONFH可能需要分病因治疗。
2) Feng将54例患有非创伤性ONFH的病人与正常人群相比较,发现前者外周血管中的内皮前体细胞(EPCS)显著少于后者---提示解决ONFH供血机制的障碍可能需从血管内皮细胞的修复着手。
3) ONFH与纤维蛋白溶解低下及血栓形成倾向存在着基因联系,其中,与凝血机制相关的PAI-1(plasminogen-activating inhibitor-1), F5(Factor V), prothrombin以及MTHFR (methylenetetrahydrofolate reductase)均被认为与ONFH的进展有关---提示对ONFH的病理机制及治疗的研究都需深入到基因水平。
4) 低氧状态(hypoxia)可诱导细胞凋亡及血管内脂质沉积,大量研究显示低氧可激活体内对血管形成、红细胞生成、能量代谢、细胞生成及铁元素平衡等方面的调控机制,与血管形成及低氧相关的最重要的目标基因VEGF及HIF-α备受关注---提示局部的低氧状态可能是ONFH进展的潜在条件。
……………………
相信未来将会有更多的基础研究专注于对ONFH的病理生理的揭示,而这些研究的成果必能为临床治愈ONFH提供有力的支持。
总结:五十余年的保髋路,医患双方都走的非常艰辛。文献报道的各种ONFH的保髋治疗方法,各有利弊,也存在较大的争议,至少在目前,保髋治疗没有重大的突破,外科技术似乎也陷入了发展的瓶颈。随着国内外对生物医学基础研究的不断深入,为外科技术与生物医学的结合提供了支持,也唯有如此,才是未来治疗ONFH的希望所在。
作者简介

赵建宁,南京军区南京总医院骨科主任,主任医师,教授,南京大学博士生导师,专业技术三级,文职一级,享受国务院政府特殊津贴和军队优秀人才特殊津贴,江苏省有突出贡献中青年专家。
江苏省医学会骨科学分会副主任委员,全军医学科学技术委员会骨科专业委员会副主任委员兼关节外科分会主任委员,中国髋关节外科工作委员会副组长, 中国膝关节外科工作委员会委员,《医学研究生学报》副主编、《中华创伤骨科杂志》、《中国骨与关节损伤杂志》、《中国矫形外科杂志》、《中国骨伤》、《中华解剖与临床》、《The Jourmai of Arthroplasty》中文版杂志等杂志的常务编委和编委。
获国家自然科学基金及全军“十一五”重大科技攻关课题等8项,军队及江苏省科技医疗成果奖共14项,其中二等奖6项,获国家专利6项,参与编写专著6部,发表论文300余篇,其中SCI论文50余篇,最高影响因子11.315。

黄河,南京市第一医院关节外科副主任医师,博士学位,曾在德国Diakoni医院及Endo Clinic关节置换中心进修人工关节外科,2011年美国匹兹堡大学医学中心关节外科高级访问学者,美国匹兹堡大学医学中心骨科博士后。
擅长骨关节损伤的诊断和手术治疗,包括肩关节镜、膝关节镜以及髋、膝、肩关节置换手术,在髋、膝、肩等关节病的诊治上积累了丰富的经验。基础研究方向为修复与重建半月板组织工程学的研究,以第一作者及通讯作者发表4篇SCI文章。




京公网安备11010502051256号