足球踝的关节镜手术技术
2017-01-25 作者:骨科在线编委:国家体育总局运动医学研究所运动创伤科高奉 我要说
骨科在线版权所有,如需转载请注明来自本网站.
导语:足球踝是由于足部反复强力背伸活动,使胫骨远端与距骨之间直接相撞,长期刺激导致软组织瘢痕增生以及骨赘形成。O′Donoghue于1957年首先报道了踝关节胫骨前唇与距骨颈骨赘之间的相互撞击,并将其命名为踝关节前部撞击综合征。由于本病常见于足球爱好者,故也称为足球踝。国家体育总局运动医学研究所运动创伤科高奉医生跟大家分享了一例关节镜治疗足球踝的病例。
患者基本情况
李**,26岁,某足球俱乐部现役队员;
3年前比赛时不慎扭伤右踝,伤后反复疼痛、肿胀,偶发绞锁;
右踝背伸受限;
近3月症状加重。
查体
右踝前缘压痛(+);可触及增生骨赘;
背伸痛(+);
右踝背伸受限;下蹲时足跟无法着地。
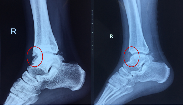
术前影像学检查

▲术前X片

▲术前MRI
手术过程
https://v.qq.com/x/page/i0369inw05s.html
术前与术后
![(6B5`UA13]4LBLVDR`H1JW4.png](/sites/default/files/ueditor/styles/nostyle_orengal/20170125/1485314297_976355.png)
▲术前与术后X片对比

▲术后三维CT
作者简介:

主要从事运动损伤的临床诊治及相关科研工作。目前参与从事的手术包括:膝关节韧带的修复与重建、半月板修整与缝合、软骨损伤的修复、游离体取出术、复发性髌骨脱位;肩关节不稳、肩袖损伤、肩峰撞击综合症的关节镜治疗;踝、髋、肘等运动损伤的关节镜手术治疗;肌肉肌腱损伤及常见四肢骨折的手术治疗等。曾多次参加国际和国内学术会议,并进行大会发言,在相关领域SCI杂志及国内核心期刊发表论文。先后参与9项国家及省部级课题,其中《国家队重点击剑运动员伤病防治手段与康复方案的研究》和《我国优秀蹦床运动员运动损伤防治及体能康复训练研究》分获2012年备战伦敦奥运会科技攻关一等奖及二等奖。



京公网安备11010502051256号