保留踝关节的自体瘤骨灭活再植重建胫骨下段骨肉瘤切除后骨缺损 ——手术技术及早期功能随访
2017-05-22 文章来源:北京大学人民医院骨与软组织肿瘤治疗中心;北京大学首钢医院骨科 作者:杨毅 我要说
保留踝关节的自体瘤骨灭活再植重建胫骨下段骨肉瘤切除后骨缺损
——手术技术及早期功能随访
杨毅,贾俊秀,郭卫,杨荣利,汤小东,燕太强,王军
北京大学人民医院骨与软组织肿瘤治疗中心,100044
北京大学首钢医院骨科,100144
Surgical Techniques and Early Functional Outcome of Ankle Joint Preservationwith RecyclingAutograft for Osteosarcoma of the Distal Tibia
Yang Yi, Jia Jun-xiu,Guo Wei, Yang Rong-li, Tang Xiao-dong, Yan Tai-qiang, Wang Jun
Musculoskeletal TumorCenter, Peking University People’s Hospital, 100044
OrthopedicsDepartment, Peking University Shougang Hospital, 100144
摘要
目的:
探讨应用自体瘤骨灭活再植技术重建胫骨下段骨肉瘤切除后骨缺损的操作过程中,保留踝关节功能的非融合手术技术及早期随访结果。
材料和方法:
我们对2例接受规范术前化疗的胫骨远端骨肉瘤患者实施了自体瘤骨灭活再植手术,本组病例未采取常规的踝关节融合,而是应用人工韧带重建等方法保留了踝关节功能。具体操作流程包括:完整切除胫骨远端肿瘤、65℃ 20%高渗盐水灭活30分钟后原位回植、对侧自体腓骨置于髓腔中心、钢板内固定、LARS韧带重建内踝软组织、下胫腓关节融合。术后随访患者并发症及骨愈合情况,应用MSTS评分评估术后功能。
结果:
2例灭活胫骨与宿主骨均实现完全愈合,平均愈合时间6个月(4个月和8个月)。随访期内未见肿瘤复发、未出现深部感染。患者无局部疼痛症状,行走功能及踝关节屈伸正常。MSTS-93评分平均95.0%。
结论
自体骨灭活再植辅以自体腓骨移植是胫骨远端骨肉瘤切除后的有效重建方案,本组病例显示,非融合的踝关节重建可以提供良好的早期功能。65℃ 20%高渗盐水灭活30分钟是一种简单、经济、有效的灭活技术。骨内活性蛋白的保存有利于骨愈合,同时可能促进关节软骨的修复。远期疗效和基础理论研究有待进一步探讨。
关键词:骨肉瘤;胫骨远端;外科治疗;灭活再植;高渗盐水
通讯作者:郭卫,bonetumor@163.com
杨毅、贾俊秀为本文共同第一作者。
Abstract
Purpose:
To present the surgicaltechniques and early functional outcome of ankle joint preservation with recycling autograft for osteosarcoma of thedistal tibia.
METHODS:
In two patients with osteosarcoma of the distal tibia whoreceived neoadjuvant chemotherapy, treatment with ankle joint preservationsurgery using recyclingautograft was undertaken. A unique identical non-arthrodesis technique was applied in the cases.The segmental tumor bone was resected, and thendevitalized in 20% sterile saline at 65°C for 30min after the tumor tissuewas removed. The recycling bone was implanted back into the defect withcentralization of a non-vascularized fibular strut graft. Plate, nail andartificial ligament was used for stabilization of tibia and ankle.Patients were assessed clinico-radiologically for bone union, infection andcomplications. The functional outcome was estimated according toMusculoskeletal Tumor Society (MSTS) scores.
RESULTS:
Complete healing of 2 tibias was achieved at a median time of 6 months (4and 8 months). All patients had no pain, no limitation in daily activities, andno evidence of local recurrence and deep infection. The average functionalscore according to the Musculoskeletal Tumor Society (MSTS) 93 scoring systemwas 95.0%.
CONCLUSIONS:
Young patients with osteosarcoma involved distal tibia can be treated bywide resection of the lesion and reconstructed using recyclingautograft and autologous fibula graft. Arthrodesis may be notnecessary for all cases. Incubation in 20% sterile saline at 65°C for 30minis an effective method of devitalization of tumor-bearing bone. The structuralbone and the preserved osteoinductivity of protein may improve bone union, andcartilage may also self-repair.
Key words:osteosarcoma;distal tibia;surgical treatment;recycling autograft;hypertonic saline.
Correspondingauthor:Guo Wei, bonetumor@163.com.
The first twoauthors contribute the same to this study.
胫骨下段并非骨肉瘤的好发部位,约占全身骨肉瘤的4%[1,2],由于局部软组织覆盖较差,加之复杂的血管神经和肌腱解剖结构,膝下截肢术一直是很多医生的首选术式[3]。随着新辅助化疗和外科技术的发展,有学者开始尝试应用异体骨、自体瘤骨灭活再植、肿瘤型假体、腓骨移植等技术实施保肢治疗,一些方法获得较好的功能。但关于保肢术后的复发率、功能是否优于膝下截肢以及并发症问题尚存在争议。
自体瘤骨灭活再植是一种简单、经济、有效的重建大段骨缺损的手术方式,以往在胫骨下段实施灭活再植手术时,顾忌于灭活骨折断和关节软骨磨损问题,大多数情况会选择踝关节融合术式。本研究尝试了一种非融合重建踝关节的灭活再植手术方法,获得满意的功能。
一、材料与方法
1.一般情况
本研究回顾了2015-2016年在北京大学人民医院骨与软组织肿瘤治疗中心接受治疗的2例胫骨下段骨肉瘤患者(详细资料见表1)。2例均为女性,平均年龄12.5岁。接受治疗前均有明确的穿刺或切开活检的骨肉瘤病理结果。手术前接受两个疗程阿霉素、顺铂、甲氨喋呤及异环磷酰胺的序贯化疗。平均胫骨下段截骨长度11.5cm。
2.手术方法
①广泛切除肿瘤:手术采用小腿下段前内侧切口,梭形切除活检切口。2例患者术前化疗效果满意,局部软组织肿块基本消失,术中均获得广泛外科边界,根据术前MRI决定截骨长度,距离肿瘤>2cm。踝关节囊及内侧韧带切除范围>1cm。术后送检髓腔和软组织外科边界均无肿瘤残留。
②瘤骨灭活:去除瘤骨表面骨膜及软组织成分,刮除髓腔内肿瘤,软钻扩髓至皮质骨。将瘤骨完全浸入20%恒温65℃高渗盐水灭活30分钟。灭活结束后庆大霉素生理盐水浸泡5分钟。
③灭活骨回植和腓骨移植:另备手术器械,截取对侧腓骨10cm,原位回植灭活瘤骨,腓骨置于髓腔内连接灭活骨及宿主骨。截骨面周围植入异体骨条。
④内固定和踝关节重建:胫骨外侧钢板跨越截骨面,下胫腓关节植骨融合,LARS韧带重建踝关节内侧韧带,其中1例腓骨骨骺未闭合患者行骨骺毁损以避免外踝腓骨生长造成踝内翻畸形。
两例手术平均术中出血200ml,手术时间2.5小时,局部软组织覆盖满意,留置引流。
3.功能锻炼和随访
术后2周开始踝关节屈伸锻炼,3周开始佩戴支具半负重站立行走,每个月复查X线,直至骨愈合后去除支具,佩戴护踝行走。
二、结果
1例患者术后伤口皮缘坏死,愈合延迟,行二次缝合,未出现深部感染。后2例患者术后病理报告显示肿瘤坏死率均>90%,延续原方案化疗4个疗程。随访时间分别为13个月和9个月,局部未见复发,无远处转移迹象。2例灭活胫骨与宿主骨均实现完全愈合,平均愈合时间6个月(4个月和8个月)。患者末次随访时均无需佩戴支具行走,无需扶拐,无局部疼痛症状,行走功能及踝关节屈伸正常。MSTS-93评分平均95.0%(96.7%和93.3%)。
三、讨论
胫骨仅次于股骨是骨肉瘤第二常见好发部位,约占全身骨肉瘤的19%,其中20%发生于胫骨远端[1、2]。踝关节区域解剖复杂,毗邻胫骨的神经、血管、肌腱和韧带使广泛切除非常困难。胫骨下段软组织覆盖条件差,在植入假体或异体骨等重建材料后,常常出现伤口并发症。因此以往的观点认为,膝下截肢术可以提供安全的外科边界,佩戴假肢可以获得相对满意的术后功能。随着外科技术的发展,对于新辅助化疗有效的胫骨下段骨肉瘤患者来说,保肢手术可能获得更好的功能。Abudu等人 [4]建议的胫骨远端病变保肢适应症包括:①Enneking3级侵袭性良性骨肿瘤;②原发恶性骨肿瘤病变局限于骨内,无软组织包块;③患者拒绝截肢手术。禁忌症包括:血管神经、重要肌腱受侵,病变累及踝关节内。对于化疗效果欠佳和局部皮肤条件差的患者更倾向于接受截肢手术。回顾既往文献,截肢(50%-100%,随访6-288个月)和保肢(84%-100%,随访36-60个月)患者的生存无显著差异[4-14],两组患者术后MSTS功能评分同样无显著差异(保肢50-100% vs 截肢 53-90%)[4-17](表3)。
胫骨远端病变切除后大段骨缺损的重建方法包括异体骨、自体瘤骨灭活再植、肿瘤型假体、腓骨移植等,在中国,自体瘤骨灭活再植作为一种简单、经济、有效的手术方式被广泛应用。本研究采用了改良的巴氏灭活方法,20%的高渗盐水在彻底杀灭肿瘤细胞的同时,更好的保护了成骨活性蛋白[18、22、23]。本组病例在半年左右均实现了骨愈合,患者可在无支具保护下行走。
以往在胫骨下段实施灭活再植手术时,顾忌于灭活骨折断和关节软骨磨损问题,大多数情况会选择踝关节融合术式。本研究尝试了一种非融合重建踝关节的灭活再植手术方法,早期随访患者获得满意的功能,并未出现关节软骨磨损导致的疼痛及关节退变。Tsuchiya等[19]应用液氮灭活后同样未发现严重的关节软骨退变的情况,这说明常规的灭活方法在彻底杀灭肿瘤的时候,可能并未对关节软骨造成不可逆损伤。
胫骨下端骨肉瘤患者接受保肢治疗后常见并发症包括:感染[4-7,9,11,12,14]、移植骨骨折[6,7,11,12,14]、骨不连[6,7,10,14]、伤口愈合延迟和皮瓣坏死[4,7,10,14]、踝关节畸形和不稳[4,7, 14,20]、肢体不等长[4,7,13]、踝关节软骨退变[11]、距骨塌陷[5]等。过去的经验认为踝关节融合术后并发症相对较低,但近期的一些研究[21]和本组结果均证实,在实施下胫腓融合和三角韧带重建后,踝关节功能更为理想,同时并不增加并发症的发生率。本组患者化疗效果显著,无骨外软组织包块,局部皮肤条件较好,可能是本组患者并发症低的另一方面原因。值得一提的是,对于腓骨下段骨骺未闭合的患者,在手术过程中务必性骨骺毁损术,否则腓骨的继续生长将造成踝关节畸形和功能障碍。
综上所述,胫骨下端骨肉瘤患者应根据病情和化疗效果恰当选取截肢或保肢治疗。本组研究报道了一个新的灭活再植重建术式,非融合的踝关节重建可以提供良好的早期功能。65℃ 20%高渗盐水灭活30分钟是一种简单、经济、有效的灭活技术,骨内活性蛋白的保存有利于骨愈合,同时可能促进关节软骨的修复。远期疗效和基础理论研究有待进一步探讨。
1.Zeytoonjian T, Mankin HJ, Gebhardt MC, Hornicek FJ. Distal lower extremitysarcomas: frequency of occurrence and patient survival rate. Foot Ankle Int. 2004;25:325–330.
2.Papagelopoulos PJ, Savvidou OD, Mavrogenis AF, Galanis EC, Shaughnessy WJ,Unni KK, Sim FH. Lateral malleolus en bloc resection and ankle reconstructionfor malignant tumors. Clin Orthop Relat Res. 2005;437:209–218.
3.Ebeid W, Amin S, Abdelmegid A, Refaat Y, Ghoneimy A. Reconstruction ofdistal tibial defects following resection of malignant tumours by pedicledvascularised fibular grafts. Acta Orthop Belg. 2007;73:354–359.
4.Abudu A, Grimer RJ, Tillman RM, Carter SR. Endoprosthetic replacement ofthe distal tibia and ankle joint for aggressive bone tumours. Int Orthop. 1999;23:291–294.
5.Campanacci DA, Scoccianti G, Beltrami G, Mugnaini M, Capanna R. Anklearthrodesis with bone graft after distal tibia resection for bone tumors. Foot Ankle Int. 2008;29:1031–1037.
6.Ebeid W, Amin S, Abdelmegid A, Refaat Y, Ghoneimy A. Reconstruction ofdistal tibial defects following resection of malignant tumours by pedicledvascularised fibular grafts. Acta Orthop Belg. 2007;73:354–359.
7.Laitinen M, Hardes J, Ahrens H, Gebert C, Leidinger B, Langer M,Winkelmann W, Gosheger G. Treatment of primary malignant bone tumours of thedistal tibia. Int Orthop. 2005;29:255–259.
8.Lee SH, Kim HS, Park YB, Rhie TY, Lee HK. Prosthetic reconstruction fortumours of the distal tibia and fibula. J Bone Joint Surg Br. 1999;81:803–807.
9.Natarajan MV, Annamalai K, Williams S, Selvaraj R, Rajagopal TS. Limbsalvage in distal tibial osteosarcoma using a custom mega prosthesis. Int Orthop. 2000;24:282–284.
10.Puri A, Subin BS, Agarwal MG. Fibular centralisation for thereconstruction of defects of the tibial diaphysis and distal metaphysis afterexcision of bone tumours. J Bone Joint Surg Br. 2009;91:234–239.
11.Ramseier LE, Malinin TI, Temple HT, Mnaymneh WA, Exner GU. Allograftreconstruction for bone sarcoma of the tibia in the growing child. J Bone Joint Surg Br. 2006;88:95–99.
12.Shalaby S, Shalaby H, Bassiony A. Limb salvage for osteosarcoma of thedistal tibia with resection arthrodesis, autogenous fibular graft and Ilizarovexternal fixator. JBone Joint Surg Br. 2006;88:1642–1646.
13.Shekkeris AS, Hanna SA, Sewell MD, Spiegelberg BG, Aston WJ, Blunn GW,Cannon SR, Briggs TW. Endoprosthetic reconstruction of the distal tibia andankle joint after resection of primary bone tumours. J Bone Joint Surg Br. 2009;91:1378–1382.
14.Ste´phane S, Eric M, Philippe W, Fe´lix DJ, Raphael S. Resectionarthrodesis of the ankle for aggressive tumors of the distal tibia in children.J Pediatr Orthop. 2009;29:811–816.
15.Aksnes LH, Bauer HC, Jebsen NL, Follera°s G, Allert C, Haugen GS, Hall KS.Limb-sparing surgery preserves more function than amputation: a Scandinaviansarcoma group study of 118 patients. J Bone Joint Surg Br. 2008;90:786–794.
16.Davis AM, Devlin M, Griffin AM, Wunder JS, Bell RS. Functional outcome inamputation versus limb sparing of patients with lower extremity sarcoma: amatched case-control study. Arch Phys Med Rehabil. 1999;80:615–618.
17.Eiser C, Darlington AS, Stride CB, Grimer R. Quality of life implicationsas a consequence of surgery: limb salvage, primary and secondary amputation. Sarcoma. 2001;5:189–195.
18.杨毅,彭长亮,孙馨,郭卫。高渗盐水灭活自体骨再植的动物实验。北京大学学报(医学版),2012,44(6)950-953。
19.Igarashi K, Yamamoto N, Tsuchiya H. Thelong-term outcome following the use of frozen autograft treated withliquid nitrogen in the management of bone and soft-tissue sarcomas. Bone Joint J. 2014 Apr;96-B(4):555-61.
20.Papagelopoulos PJ, Savvidou OD, Mavrogenis AF, Galanis EC, Shaughnessy WJ,Unni KK, Sim FH. Lateral malleolus en bloc resection and ankle reconstructionfor malignant tumors. Clin Orthop Relat Res. 2005;437:209–218.
21.Hintermann B. Medial ankle instability. Foot Ankle Clin. 2003; 8:723–738.
22.Huayi Qu,Wei Guo,Rongli Yang,Dasen Li,et al.Reconstruction of segmentalbone defect of long bones after tumor resection by devitalized tumor-bearingbone.Word journal of Surgival Oncology(2015)13:282
23.Huayi Qu,Wei Guo,,Rongli Yang,Xiaodong Tang,et al.Cortical strut bonegrafting and long-stem endoprosthetic reconstruction following massive bonetumour resection in the lower limb.Bone joint J(2015)97-B:544-9
24.Andreas F. Similar Survival but Better Function for Patients after LimbSalvage versus Amputation for Distal Tibia Osteosarcoma. Clin Orthop Relat Res(2012) 470:1735–1748.




图1女性/9岁,右胫骨下端骨肉瘤。A术前X光片,右胫骨下端骨肉瘤。B化疗后MRI显示软组织包块消失,病变局限于骨内。C术中完整切除胫骨远端肿瘤后刮除髓腔内肿瘤、65℃ 20%高渗盐水灭活30分钟后原位回植、对侧自体腓骨置于髓腔中心、钢板内固定、LARS韧带重建内踝软组织、下胫腓关节融合。D术后即刻X光片。E术后4个月X光片显示截骨面已愈合。F术后踝关节功能良好,4个月后无需支具辅助可正常行走。




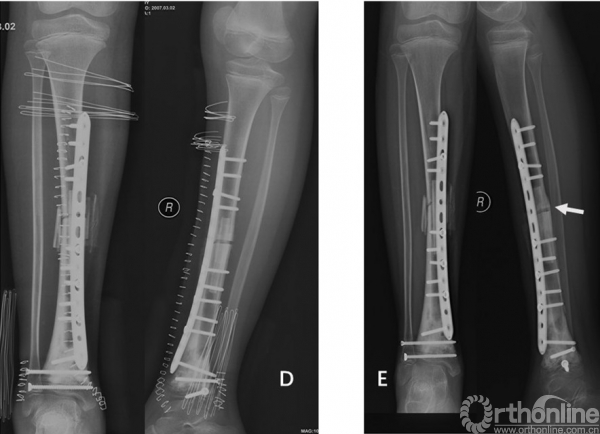
图2女性/16岁,右胫骨下端骨肉瘤。A术前X光片,右胫骨下端骨肉瘤,后方软组织包块影伴肿瘤性成骨。B化疗后MRI显示胫骨下端异常信号影。C术中完整切除胫骨远端肿瘤后刮除髓腔内肿瘤、65℃ 20%高渗盐水灭活30分钟后原位回植、对侧自体腓骨置于髓腔中心、钢板内固定、LARS韧带重建内踝软组织、下胫腓关节融合。D术后即刻X光片。E术后6个月X光片显示截骨面已模糊。F术后踝关节功能良好,7个月后无需支具辅助可正常行走。
表1:患者一般情况

表2:患者MSTS评分

表3:胫骨远端肿瘤切除及功能重建文献回顾




京公网安备11010502051256号