南方医科大学第三附属医院儿童骨科国内青年儿童骨科医师访问进修项目
2017-06-09 文章来源:南方医科大学第三附属医院儿童骨科 我要说
南方医科大学第三附属医院儿童骨科,作为华南地区最具特色和代表性的儿童骨科专科,专注于儿童肢体矫形与创伤治疗及康复临床和基础研究。在学科带头人李旭博士带领下,短短5年内科室已发展成国内领先的儿童骨科专科之一,目前为中国医师协会骨科分会儿童骨科学组副主任委员单位,和广东省医师协会骨科分会儿童骨科学组主任委员单位。访问进修名额有限,机会难得,欢迎广大有志于从事儿童骨科专业的医师踊跃报名参加。

主要业务诊治范围:
以“肱骨髁上骨折零切开”为特色、以低龄儿童严重骨盆骨折外科治疗为代表的各种儿童创伤治疗及创伤后畸形的矫正。科室每年收治大量先天性(发育性)髋关节脱位的病例,可开展三联截骨、Ganz截骨等各种重建及姑息性髋关节手术。儿童股骨头坏死(Perthes病)、髋内翻、髋关节撞击症等各类髋部疾病的外科治疗。肘内/外翻、膝内/外翻、Blount病及创伤等所致的肢体力线异常的矫正。佝偻病、脆骨病、骨纤维异常增殖症等骨病、胫骨假关节、骨软组织肿瘤等骨病的外科治疗。脑瘫后遗症的系统、规范化治疗。多指(趾)、并指(趾)、马蹄内翻足、高弓足、平足、垂直距骨等常见和罕见四肢先天畸形的手术治疗。
主要特色和技术优势:
儿童足踝疾病的治疗:ponseti技术治疗儿童先天性马蹄内翻足;Illizarov技术治疗大龄僵硬型的先天性马蹄内翻足等严重、复杂四肢畸形;平足、脑瘫足踝畸形、腓骨肌萎缩症、创伤性足踝后遗症等的外科治疗。年足踝手术量约300-400台。
发育性髋关节发育不良/脱位(DDH)的闭合复位、髋关节造影、石膏固定技术;单纯开放复位技术;各种截骨手术(Pemberton、Dega、改良Salter、三联、Ganz等),儿童髋关节返修和重建手术。每年髋关节手术量约250-300台。
各种多指(趾)、并指(趾)、巨指(趾)、分裂指(趾)、先天性尺/桡侧纵裂发育不良、先天性上尺桡关节融合、多关节挛缩等复杂四肢先天畸形的处理,以及示指拇化、On-top plasty、上肢及手部各种截骨、矫形及延长手术。年手部畸形手术量约250-300台。
儿童四肢骨折的微创固定技术,儿童骨折不愈合的返修手术,儿童肱骨髁上骨折“零切开”技术等。年手术量约300-400台。
脑瘫四肢畸形的综合外科治疗:脑瘫足、脑瘫髋、蹲踞步态、上肢关节挛缩等畸形的处理,各种截骨及肌力平衡手术。年手术量约100-150台。
各种其他复杂四肢畸形、肢体不等长、Perthes病、成骨不全、胫腓骨假关节、结核、肿瘤、斜颈等,年手术量约200-250台。
典型病例:
1.改良salter截骨
刘某某,双侧发育性髋关节发育不良,在我院行改良salter截骨后,复位良好。

2.改良三联截骨
李某某,右侧发育性髋关节发育不良,在我院行改良三联截骨后,复位良好。

3.肱骨髁上骨折“零”切开。
华某某,12岁,男,完全移位的右肱骨髁上骨折,行肱骨髁上骨折“零”切开手术,术后恢复良好,不留疤,在门诊取内固定可立即离院。



4.先天性马蹄内翻足,出生一周时至我院就诊,予标准的Ponseti系列手法+石膏治疗,行经皮跟腱微创松解。治疗后足外观恢复正常。


5.8岁大龄的僵硬的马蹄内翻足,单纯手法+石膏已不能完全矫正畸形,采用Ilizarov外架,结合截骨术,矫正畸形。

6.脑瘫平足的治疗。16岁男性患者,脑瘫伴左侧平足,术前左足侧位X线片,见跟骨向下倾斜,“中足断裂”,足弓消失。矫正术(跟骨延长、跖内侧紧缩、内侧楔骨截骨)后,可见跟骨倾角恢复正常,足弓重建。

7.14岁女性,腓骨肌萎缩症,高弓足畸形。行内侧楔骨截骨、肌腱转位术,矫正畸形,恢复正常足弓。

8.1岁,女,右侧拇指漂浮指畸形,行食指拇化术后外观照。


9.3岁,男,右侧尺骨干续连症;右侧尺骨远端骨软骨瘤。右侧尺骨远端骨软骨瘤切除、尺骨截骨随内针固定+单边外固定架延长。1年后随访,右侧前臂畸形纠正,前臂活动度明显改善。


10.4岁,男孩,蟹钳指畸形(WasselIV型),行改良BC术式,术中行畸形纠正、肌力平衡、功能重建、整形修复,术后2个月随访,外观及功能恢复满意。

11.2岁,女,右手拇指复杂多指畸形,合并指骨骨骺肥大(桡侧主干指掌指关节通过肥大骨骺融合,主干指指尖出现鸡爪样返祖现象,外形较差,尺侧多余指,掌骨发育不良,但外形良好。行“换头术”(On-top plasty),术后2个月复查,拇指屈伸、对掌、抓握、对捏及外形恢复满意。


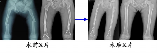
12.6岁,女,双侧股骨干骨折,在外院初次手术(髓内针直径过小,尾帽使用不当)复位不成功,来我院翻修(调整弹性髓内针直径,去除尾帽),翻修术后8个月,骨愈合良好,拆除弹性髓内针。

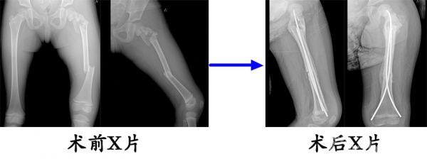
13.严某某,女,4岁,高处坠落伤(股骨颈、股骨干骨折),术后恢复颈干角、前倾角。

14.男,16月龄,汽车碾轧伤,全世界最小手术年龄的严重骨盆骨折。



15.7岁男孩,髁上骨折保守治疗后,出现右肘内翻。予行右肱骨髁上截骨矫形,桡侧组合外支架固定。术后无须石膏固定,允许带支架屈伸活动肘关节,支架6周后拆除。

核心医生团队:

李旭——副主任医师
现任南方医科大学第三附属医院暨广东省骨科医院儿童骨科主任,广东省骨科研究院儿童肢体畸形矫形中心主任,AO(Depuy-Synthes)南方小儿骨科培训中心主任。
学术和社会兼职:
中国医师协会骨科分会小儿骨科工作委员会副主任委员;国际矫形与创伤外科学会(SICOT)中国部小儿骨科学组副主任委员;中国康复医学会修复重建外科专业委员会四肢先天畸形学组副组长;中国医疗保健国际交流促进会骨科分会小儿骨科学组副主任委员;中国研究型医院学会骨科创新与转化委员会小儿骨科专委会副主任委员;广东省医师协会骨科分会小儿骨科学组主任委员;中华医学会骨科分学会小儿创伤与矫形学组委员。

吴文——副主任医师
副主任医师,广东省医学会显微外科协会委员,中国人民解放军伤残康复委员会常务委员,中国人民解放军显微外科青年委员。
临床专长:主要从事创伤骨科和显微外科。尤其在显微领域有扎实根底,体现在能个体化、差异化应用各种复合组织瓣修复大型骨、软组织缺损;在断指再植、手再造手术和四肢大血管损伤修复方面技术全面。技术特长和专业特色:修复重建及手外科。

吴伟平——高年资主治医师
主治医师,医学硕士。广东省骨科学会成员。广东省骨科医师协会儿童骨科专业组秘书长。从医二十余年来,一直以解除患者疾患为己任,致力于解决临床实际问题。
临床专长:先天性马蹄内翻足;儿童四肢、骨盆及脊柱骨折等各种复杂创伤及后遗症的治疗;先天性上肢及手部畸形;儿童膝内外翻(O型腿及X型腿);先天性/发育性髋关节脱位;先天性肌性斜颈;儿童股骨头坏死;脑瘫后遗症;骨与软组织肿瘤;儿童骨骼和肢体发育评估及畸形的矫正。在微创治疗四肢骨折及肢体畸形方面达到国内领先水平。

燕华——主治医师
2001年至2009年于北京协和医科大学学习,八年制医学博士。2009年至今于南方医科大学第三附属医院骨科中心从事骨科临床、科研、教学工作。广东省关节外科学会足踝外科学组青年委员,中国研究型医院学会骨科创新与转化委员会小儿骨科专委会青年委员。
临床专长:各种儿童步态异常(畸形、脱位、肢体不等长、神经源性及创伤后肌肉无力)的分析和处理;足踝的功能解剖、各种足踝畸形(平足、高弓足、垂直距骨等)的发生机制、诊治原则和手术技术;脑瘫的临床评估和多水平/系统性外科治疗;髋关节脱位等髋部疾病的病理研究、临床评估和外科治疗;各种创伤后遗畸形的评估和矫正。

谭为——主治医师
医学硕士,主治医师,讲师,广东省医学会骨科学分会成员、广东省生物医学工程学会(GDSBME)会员。擅长儿童手足先天畸形诊治及儿童创伤微创治疗。在长期的临床实践中形成了精细和轻巧的手术风格,将整形美容和功能重建技术相结合,把“关爱、功能、美学”的理念贯穿到每一台手术中,为孩子解除病痛和恐惧,得到广大患儿家属及同行的赞誉和认可。
临床专长:擅长多指(趾)、并指(趾)、巨指(趾)、分裂手(足)、拇指发育不良、桡拐手、屈指症、脑瘫手、多关节挛缩、马蹄内翻足、膝关节内外翻(X/O型腿)、肢体不等长等复杂先天性手足畸形及外伤后导致的继发四肢畸形矫正、瘢痕整形修复与功能重建;臂丛损伤的早期神经修复;先天性髋关节脱位;股骨头坏死;先天性肌性斜颈;脑瘫后遗症;儿童四肢骨折的微创手术治疗。
具体要求如下:
▣报名要求
o 具有医师执业资格证;
o 县级以上医院3年以上骨科相关专业工作经验;
o 有吃苦耐劳精神,对儿童骨科有浓厚兴趣;
▣学习内容
o 儿童骨科的常见疾病的诊治技能与规范化;
o 儿童骨科疑难病的诊疗思路与原则;
o 儿童骨科常见手术的术前后处理、适应症选择、并发症防治、功能康复。
o 参加病房的病人管理、急诊处理、病例讨论及参与手术。
▣学习目标
掌握儿童骨科常见病、多发病的诊治原则与方法,初步掌握专科疑难病的诊治思路与原则,专科手术技术得到规范化培训与提高,手术技巧得到提升,在3年住院医师基础上达到骨科主治医师水平;在主治医师基础上得到更高层次的提升。
▣报名须知
o报名截止时间:2017年06月15日
o进修时长:半年期,2017年7月1日~2018年12月31日
▣报名联系方式
联系人:朱莹莹
☎:18588773038
☎:020-62784316



京公网安备11010502051256号