肱骨近端multilock髓内钉的介绍和复位小技巧
2019-07-17 文章来源:解放军总医院 作者:彭烨 我要说

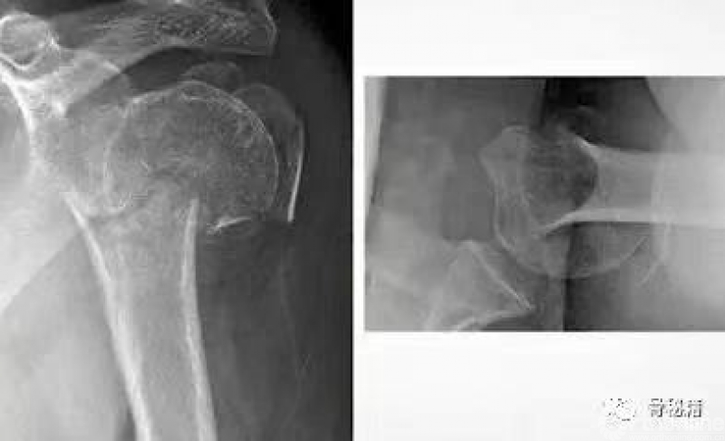
我们先看一个病例

这样一个病例你会选择钢板还是髓内钉?
钢板的风险:内侧肱骨距的骨折块难以复位,内侧失支撑
而髓内钉则不会害怕这样的问题


我们为什么应用髓内钉?
1.中轴固定,软组织干预少
2.生物力学优势
3.头部的支撑
4.微创
5.对于两部分的骨折是最佳适应症
但是这种固定也有一些缺陷
关节面的损伤
肱骨颈小块的固定
髓内钉间隙之间的稳定性不如锁定钢板
一些术中的辐射



这是一个我们常见的肱骨近端骨折,我们可以看到外侧的大结节粉碎
中间有很多头内的缺损,常见的固定是将外侧复位之后通过钢板在外侧对剩余的头进行固定,这种偏心的固定在骨缺损的情况下通常很容易失败。




而我们应用髓内钉就是另外一种情况,通过头上较好骨质对主钉的把持来维持整个固定,这个病例为了很好的控制头的固定,使得进针点非常靠内,这样才能把持主头的骨折块,通过主钉来重建生物力学的稳定性,再通过锁定来重建大结节的部位,相对来说失败的几率更小一些
对于老年人来说,骨量也是一个常见问题

直钉对于斜钉来说,其中轴固定的骨量更多,更加稳定一些
这就是为什么multilock 钉子的应用现在这么流行

另外一个优势是对于肩袖的血供的影响可能更小一些
主要是在肩袖的肌肉部分进行分开,而不是在肌腱部分分开
对肩袖的损伤与原来的斜钉更小一些

再说说设计方面
在螺钉的固定方面,Multilock的多平面螺钉与philos的固定已经基本接近了


multilock的螺钉前方是顿头的,不会穿破关节
其后方也有缝线孔,可以结合缝线用来固定肩袖、大结节等组织
常用的克氏针的临时复位固定技术

可以应用大量的克氏针完成复位,
难复位的时候可以将头临时固定在关节盂上
最关键的就是剩余肱骨头需要进行外翻到合适的位置然后固定
将肱骨头的复位和合适的临时固定是最关键的
在复位好的基础上,植入合适的主钉导针
导针一旦植入,这个手术就完成了一半了
剩下就按照步骤进行

复位的关键就是将低头的肱骨头敲拨起来,外翻到合适的位置
可以应用摇杆技术等进行肱骨近端的复位,同时需要注意避让进针点的位置




也可以应用鞋拔子来进行翘拨复位,但是需要注意的问题是
外侧骨块必须是完整的,内侧一定要足够深入到头下的位置在骨量较好的地方进行翘拨



京公网安备11010502051256号