一文读懂Pilon骨折手术技巧
2020-02-21 我要说
1911年,法国放射学家Etinne Destot首先使用Pilon一词来描述胫骨远端关节骨折线向近端延伸5cm范围内的干骺端解剖区域。Pilon为法语,其原意是药师用来粉碎和研磨的钵杵,胫骨远端与之非常相像。
一、 什么是Pilon骨折?

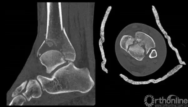
Pilon骨折为发生于胫骨远端并累及关节面,由垂直暴力合并或不合并扭转暴力导致的骨折,常表现为干骺端的压缩和关节面的粉碎。它是踝部的复杂骨折,以高能量损伤、不稳定、软组织损伤严重为特点。
临床手术复杂,并发症常见且严重。一旦治疗失败,常常带来灾难性的后果,如截肢、严重创伤性关节炎后期再关节融合等。
二、 Pilon骨折手术入路选择
Pilon骨折手术入路选择原则一般取决于最适合进行关节面复位的入路。cole在2013年jot发表的文章描述了pilon骨折的骨折线图根据多例病例汇总到一起,颜色越深则越骨折线经过的可能性越大。

他将pilon骨折大致的骨块进行了分类,分别为后、前内、前外三个骨折块。Pilon骨折的入路一共有5个,前内、前正中、前外、后内、后外。



1. 前内侧入路



该入路比较好做经皮固定,可比较好暴露前内侧的关节面,术中可以向外侧延长切口放一个前侧的钢板,或向后侧延长切口放一个内侧的钢板。
2. 前外侧入路




在经前外侧入路进行手术时,需要把趾长伸肌往内侧牵拉,要注意腓浅神经,且一般可置放前侧钢板。
3.前正中入路



前正中入路在胫前肌和足母长伸肌之间,对于显露前方的关节面十分好,甚至可延长显露到距骨;对于内外踝都可以较好的暴露。
4.后外侧入路





后外侧入路在屈拇长肌和腓肠肌之间。术中需要注意保护腓肠神经,病人一般采取俯卧位,该切口的好处是可以同时解决腓骨的固定和后方骨块的显露固定。
5.后内侧入路



后内侧入路在屈拇长肌和跟腱之间,术中将屈拇长肌胫后血管和神经向前侧拉开,对于后踝的骨折块则可以很好的显露和固定。
三、Pilon骨折术中技巧
1. 粉碎的骨折

针对该类骨折一般采取小块靠大块的原则,充分显露之后,先从后面开始,逐步把小块往大块上复位,逐渐复位到最前面。
2.中心粉碎骨折





对于中心粉碎骨折需要充分牵引、撑开,将关节面的骨折块先找到摆放在合适的位置,用克氏针将关节面的骨块应用排筏技术先固定好,从下方观察关节面的复位情况,并且确认骨块不会向上推起,适当植骨,然后将骨块前后和左右进行压实后进行固定。
四、小结
Pilon骨折作为最复杂的踝关节骨折,一直是临床中的难点和重点,本文针对Pilon骨折的概念、手术入路原则和相关手术技巧进行介绍,希望对各位同道的临床工作有所帮助。
内容来源:Pilon骨折的手术原则、Pilon骨折的手术入路和手术技巧。



京公网安备11010502051256号