两例典型平山病患者的手术疗效
2021-04-07 文章来源:北京大学第三医院骨科 我要说
青少年上肢远端肌萎缩症又称平山病(Hirayama disease),是日本学者平山惠造于1959年首次报道的一种疾病。
其临床特征为:几乎全部是青少年男性,局限于上肢远端的肌肉无力、萎缩。手骨间肌、大小鱼际肌萎缩,以尺侧萎缩明显(图1)。肌肉无力导致患者的日常生活受到严重影响。
本病起病隐匿,肌肉出现明显萎缩前诊断困难,部分病例被误诊为“周围神经炎”或“运动神经元病”而得不到及时的治疗。本病发展至晚期出现双手及前臂肌肉严重萎缩、纤维化以及关节挛缩畸形,患者基本失去双手的使用功能。

图1.周某,男18岁,双手肌肉萎缩,无力2年
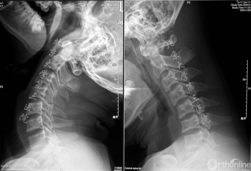
平山病患者的影像学特点为颈部屈伸活动明显增大(图2),中立位核磁脊髓无明显受压,但屈颈位MRI可见下段颈髓前移,颈脊髓在屈颈位时受到挤压(图3)。

图2.过伸过屈位X线

图3.中立位核磁和屈曲位核磁,屈颈位MRI可见下段颈髓前移,颈脊髓在屈颈位时受到挤压
平山病的治疗通过颈托来限制颈椎的屈曲活动,但是部分患者佩戴颈托后病情仍在加重,对于病情加重的患者国内和国际均没有好的治疗办法。而骨科有丰富的颈椎手术经验,颈椎前路内固定手术可以很好的限制颈椎的屈曲活动。对于神经内科确诊为平山病经严格颈托保守治疗6个月无效的平山病患者,北医三院骨科从2006年开始采用颈椎前路钛板内固定术的手术治疗方法。
典型病例1

左:男性患者16岁,术前双手骨间肌萎缩
右:术后1年随访,肌肉萎缩较术前改善

术前屈伸位X线

术后1年屈伸位X线

术前屈曲位核磁示下颈段脊髓前方受压 术后1年随访屈曲位核磁
平山病患者的手功能评价
平山病患者临床特征为局限于上肢远端的肌肉无力、萎缩,手骨间肌、大小鱼际肌萎缩,以尺侧萎缩明显。肌肉无力导致患者的日常生活受到严重影响。目前没有标准的量化平山病患者手功能的方法。
孙宇主任团队采用Jebsen-Taylor试验和密歇根手功能简表评价平山病患者的手功能。Jebsen-Taylor试验是专用于手功能状况的客观检查方法,在手外科广泛应用。
Jebsen-Taylor试验包括以下动作:(1)书写;(2)翻转纸片;(3)移动小物体;(4)用勺子移动小物体;(5)堆叠小物体;(6)移动大而轻的罐子;(7)移动大而重的罐子。
平山病患者较正常利手及非利手的Jebsen-Taylor试验各项指标均有不同程度的障碍,其中在利手侧,翻转纸片,移动大而轻的罐子和移动大而重的罐子3项障碍尤为明显。
密歇根手功能简表(brief Michigan hand outcomes questionnaire,Brief MHQ)是由密歇根大学健康系统于2010年制定的手功能评级方法。密歇根手功能简表包括手的总体功能、日常生活能力、工作或学习、疼痛、外观与自我满意度六个维度,每个维度包括2个问题,共计12个问题,每个问题根据患手的功能程度设5个选项,分别计5、4、3、2 和1 分,评分越高,手功能越好。
孙宇主任团队对27例平山病患者进行密歇根手功能简表随访,总分较术前显著升高,颈前路手术治疗平山病的疗效是肯定的。具体来说,总体功能、日常生活能力、工作或学习与自我满意度这四个维度随访时较术前有显著提高,但是疼痛和外观两项并无显著改善。
平山病患者的手术疗效
2019年孙宇主任团队对手术治疗的平山病患者进行了5年以上的临床随访,共有资料完整的31例患者纳入研究。男30例,女1例;入院时年龄为16-27岁平均19岁;自起病至接受手术的时间为12-96个月,平均37个月。术前主要临床表现为肌肉萎缩31例(100%),肌萎缩累计前臂肌群11例(35.5%),单侧受累19(61.3%),双侧受累12例(38.7%)。术前过伸、过屈位X线片测量颈椎整体活动度为52.3-100.1°,平均为77.8°。
31例患者得到末次随访(术后5-6年),病情均停止进展。24例(77.4%)患者肌无力症状有所改善,16例(51.6%)患者肌肉萎缩症状有所改善。前臂肌力为4-5级,较术前平均提高1.3级;握力为3-5 kg,较术前平均增加56%。术后3月至末次随访时,肌无力及肌肉萎缩改善的比例逐年提高(表1)。

典型病例2

相关阅读:
华山骨科“平山病”系列研究之——颠覆传统观念的“严重”神经系统疾病
不会“自限”的平山病(一)——平山病病情进展的影像学定量评估



京公网安备11010502051256号