建议收藏|超详细的膝关节MRI解剖
2021-08-14 文章来源:骨科在线 我要说
膝关节MRI分为矢状位、冠状位、横断位,正常膝关节MRI的骨、肌腱、半月板和韧带的通常呈无信号表现,关节软骨在各种序列中的信号各不相同。
膝关节矢状面正常解剖MRI表现
可整段显像髌韧带、前后交叉、外侧韧副带结构,侧重的股胫软骨中部和半月板前后角,通常是诊断半月板撕裂或变性最为关键的断面。

矢状位解剖第一层

矢状位解剖第二层
矢状位解剖第三层

矢状位解剖第四层

矢状位解剖第五层

矢状位解剖第六层

矢状位解剖第七层

矢状位解剖第八层

矢状位解剖第九层

矢状位解剖第十层

矢状位解剖第十一层

矢状位解剖第十二层
膝关节冠状面MRI解剖
显示内外侧副韧带、腘肌和拱状韧带,有无信号和结构改变,侧重关节胫股软骨的两边和半月板的体部。

冠状位解剖第一层

冠状位解剖第二层

冠状位解剖第三层

冠状位解剖第四层

冠状位解剖第五层

冠状位解剖第六层

冠状位解剖第七层

冠状位解剖第八层

冠状位解剖第九层

冠状位解剖第十层
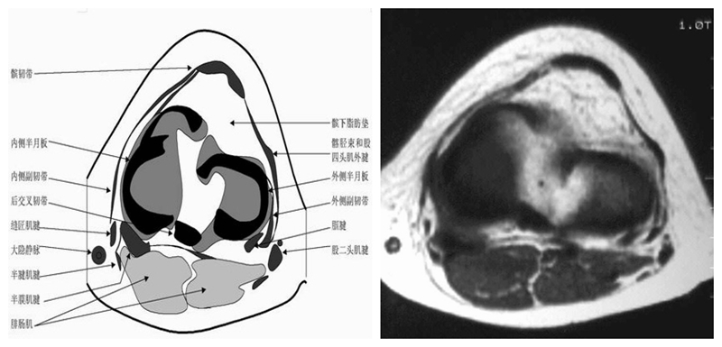
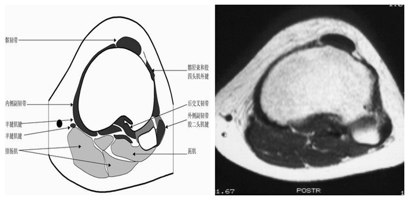
膝关节横断面MRI解剖
三维影像首选的方位,便于与CT比较,可准确地展现髌骨内外侧关节面。

横断面解剖第一层

横断面解剖第二层

横断面解剖第三层

横断面解剖第四层

横断面解剖第五层

横断面解剖第六层

横断面解剖第七层

横断面解剖第八层

横断面解剖第九层

横断面解剖第十层

横断面解剖第十一层

横断面解剖第十二层



京公网安备11010502051256号