一文读懂焦磷酸钙结晶沉积病——假性痛风
2021-08-18 文章来源:华中科技大学同济医学院附属武汉普爱医院 作者:吴其鹏 我要说
焦磷酸钙沉积病(caleium pvrophosphate deposition,CPPD)是一类以关节软骨及其周围组织钙盐沉积为特征的代谢性关节病。CPPD随年龄增长发病率增高,通常在50岁以后发作,60-80岁是发病高峰,在80岁以上老年人群的发生率约20%~49%,成年人膝关节CPPD的患病率高达 13%。
一、病因
其病因可能与代谢障碍、遗传、年龄老化以及关节损伤等有关,以代谢障碍、遗传因素多见。
1.代谢障碍类疾病
主要包括:血色素沉着症、Wilsons病、高钙血症、甲状旁腺功能亢进症、褐黄病、低镁血症以及糖尿病等。这些疾病导致焦磷酸代谢异常,关节软骨的蛋白多糖被破坏,钙及焦磷酸释放进入滑液,钙与焦磷酸结合以焦磷酸钙分子晶体形式沉积于软骨、韧带、肌腱及关节,从而引起关节表面磨损,同时刺激关节产生炎性反应。
2.遗传因素
遗传因素见于ANKH基因功能突变,该基因编码膜转运蛋白,后者能将软骨基质细胞代谢产生的焦磷酸从胞内经细胞膜转运至细胞外,当 ANKH 发生突变,其编码的转运蛋白活性升高,导致细胞外焦磷酸水平升高,从而引起焦磷酸钙分子晶体在关节沉积。
二、临床分型
1.欧洲抗风湿联盟(EULAR)分型
①无症状型CPPD
②急性CPPD型关节炎 (假性痛风)
③慢性CPPD型关节炎
④伴随骨关节炎型CPPD
2.病因分型
①散发性CPDD
②代谢疾病相关的CPDD
③遗传性CPDD
三、临床表现
1.症状最早出现在膝关节,按发生频率依次为膝、踝、腕、 肘、髋和肩关节,常多关节受累。
2.急性发作时,多表现为关节肿胀和疼痛(痛风样症状)。可因创伤、手术或其他疾病诱发。
3.慢性病例常伴有膝关节腔内积液,偶尔出现希佰登结节(Heberden’s nodes,指骨的骨关节炎时出现在手指关节旁的小硬结)
4.有时伴高尿酸盐血症,容易被误诊为痛风。严重病例可导致关节面迅速破坏,类似Charcot关节病(神经性关节病)或引起脊柱僵硬,类似强直性脊柱炎。
四、影像学特征

图1.受累部位呈点状、线状或斑片状钙化影(受累部位钙化所致),以及受累关节间隙间隙变窄,并可伴骨赘形成

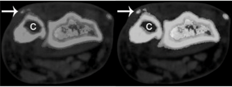
图2.双能计算机CT断层扫描显示远尺桡关节焦磷酸钙沉积

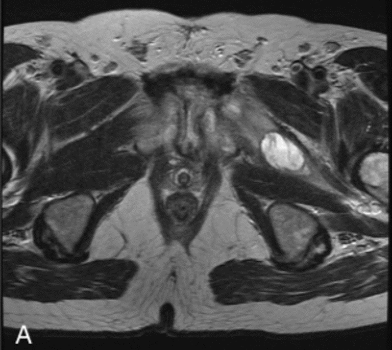
图3.核磁共振显像
五、诊断
该病诊断的金标准:关节滑液中发现CPPD结晶。

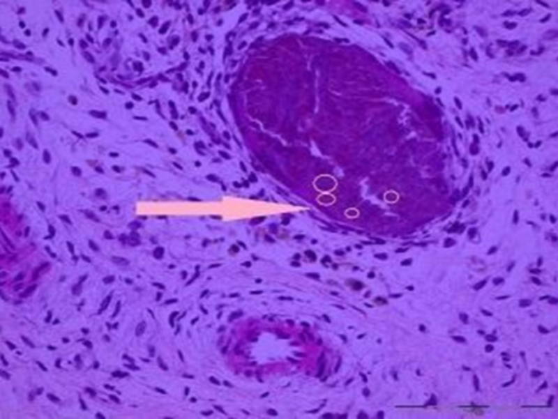
图4.膜组织内见多灶、团块状紫蓝色钙化结晶体沉积
六、鉴别诊断
1.痛风
好发于男性,最易累及第一跖趾等小关节,血尿酸明显升高。
2.营养不良性钙化
变性、坏死的组织内出现钙盐沉积。 常见于陈旧性结核坏死灶内、透明变性的胶原纤维组织 (如钙化性纤维性肿瘤),慢性寄生虫病的肉芽肿中。一般无全身性钙磷代谢障碍,镜下也无焦磷酸钙晶体形成。
3.肿瘤性钙盐沉着症
多发于儿童和青少年,其特点是在关节旁的软组织内,形成大的无痛性钙化肿块,肘关节和髋关节是其最常见的部位,膝关节少见。血清钙通常正常,血磷酸盐增高,血清二羟基维生素D水平升高。
七、治疗
1.非手术治疗
目前尚无针对溶解CPDD结晶的特效药,药物治疗主要是消炎和缓解症状。急性发作期,可口服非甾体类抗炎药,疗效欠佳者可抽吸关节积液后注入糖皮质激素。
2.手术治疗
对负重的髋、膝关节可采取积极的手术治疗,通过关节镜下直接冲洗,清除关节内结晶和增生滑膜,延缓或阻断疾病进程,效果更佳。
八、病例分享
患者周X,男,47岁,发现左腕部包块1年余入院,入院查体:左腕尺侧肿胀明显,可及一质软包块,呈类圆形,可推动,左小指、无名指感觉减退,活动无受限,左手其余指感觉、活动无异常,既往体健,否认高血压、糖尿病病史,无手术史,无药物、食物过敏史

左腕关节正位片提示:左腕尺侧实性占位

左腕关节核磁共振:左腕尺侧软组织占位

术中见包块紧邻尺神经、尺动脉


切开包囊,见充满砂砾样物质

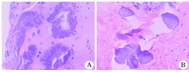
术后病理
九、文献复习
既往临床报道以Case reports居多

创伤引起的腰椎焦磷酸钙沉积病


胸椎(A)和腰椎(B)脊柱MR图像显示C7-T1以及T1-2和T9-12椎间盘内有一些强化。从T9到T12也有腹侧硬膜外强化
跟腱焦磷酸钙沉积病



焦磷酸钙沉积疾病引起炎症性背痛


焦磷酸钙沉积疾病伪装成脊髓感染

腰椎MRI,L2和L3椎体强化,骨髓水肿,伴椎前/椎旁软组织肿胀,弥漫性椎间盘膨出,黄韧带增厚,椎管狭窄

腰椎MRI,L2/3明显狭窄,左侧明显,伴椎间盘炎和中度硬膜囊压迫,周围可见软组织水肿,左侧腰大肌轻度水肿。
颈椎焦磷酸钙沉积病

C6/7椎板关节面不规则,骨髓信号减弱,椎周信号改变延伸至C6神经根的后侧和C7神经根的上侧

箭头显示在椎间后关节周围和左侧C6/7神经孔内的炎症过程增强

偏振光下正双折射菱形晶体
焦磷酸钙沉积疾病致急性脊髓压迫


焦磷酸钙沉积疾病引起腰椎双侧症状性滑膜囊肿

CT扫描显示右侧与L4-L5关节突关节相关的钙化滑膜囊肿,明显侵犯椎管

A、注射钆前轴位T1加权MRI扫描显示硬膜囊背侧有低信号钙化肿块移位;B、注射钆后,低信号区周围可见强化环;C、矢状位T2加权MRI图像。箭头显示侧隐窝内有囊性肿块
齿状突加冠综合征:CPDD的一种罕见形式

1.颈椎CT冠状面重建显示:齿状突周围韧带钙化,“晕圈样征象”2.颈椎CT横断面显示齿状突后方韧带钙化(A软组织窗;B骨窗)
CPDD累及颞下颌关节

颞下颌关节侵犯了颅窝的钙焦磷酸沉积疾病



京公网安备11010502051256号