一文掌握正常髋关节MRI解剖示意图
2022-03-30 文章来源:《髋关节影像学诊断学》 作者:骨科在线 我要说
MRI具有多平面,多参数成像,与X线片相比,除具有类似CT对关节囊及周围软组织、前后部关节间隙、关节内的游离体和邻关节骨内病灶的显示优势外,尚可直接显示关节软骨的改变和骨髓浸润性病变及水肿。
横轴位

正常髋关节股骨头上缘层面T1WI像
1.股骨头;2.耻骨;3.坐骨;4.股静脉;5.股动脉;6.闭孔内肌;7.髂腰肌;8.臀小肌;9.臀中肌;10.臀大肌;11.梨状肌;12.膀胱

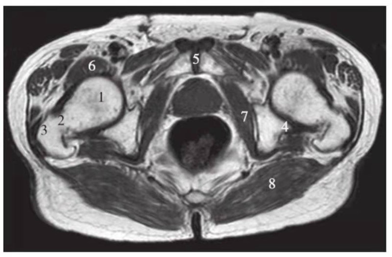
正常髋关节经股骨头中心层面T1WI像
1.股骨头;2.耻骨;3.坐骨;4.股静脉;5.股动脉;6.闭孔内肌;7.髂腰肌;8.臀小肌;9.臀中肌;10.臀大肌;11.膀胱

正常髋关节经股骨颈层面T1WI像
1.股骨头;2.股骨颈;3.转子间部;4.髋臼后唇;5.耻骨联合;6.髂腰肌;7.闭孔内肌;8.臀大肌
矢状位

正常髋关节经股骨头内缘层面T1WI像
1.髂骨;2.臀大肌;3.圆韧带;4.股骨头;5.坐骨;6.闭孔外肌;7.耻骨肌;8.大收肌

正常髋关节经股骨头中心层面T1WI像
1.臀中肌;2.髂骨;3.臀大肌;4.髂腰肌;5.股骨头骺线;6.股骨头;7.髋臼后唇;8.梨状肌;9.关节囊及髂股韧带;10.闭孔内肌;11.股方肌;12.大收肌

正常髋关节经股骨头外缘层面T1WI像
1.臀中肌;2.臀大肌;3.臀小肌;4.关节囊及髂股韧带;5.髂腰肌;6.股骨颈;7.骨岛;8.股直肌;9.股中间肌
冠状位

正常髋关节经股骨头前缘层面T1WI像
1.股骨头;2.耻骨;3.髂骨;4.髂腰肌;5.内收肌群;6.臀小肌;7.臀中肌;8.关节囊及髂股韧带

正常髋关节经股骨头中心层面T1WI像
1.股骨头;2.股骨颈;3.髋臼窝内脂肪;4.髂骨;5.臀小肌;6.臀中肌;7.闭孔内肌;8.闭孔外肌;9.股外侧肌;10.股内侧肌

正常髋关节经股骨头中心层面T2WI像
1.股骨头;2.股骨颈;3.大转子;4.髂骨;5.臀小肌;6.臀中肌;7.闭孔内肌;8.闭孔外肌;9.股内侧肌;10.股外侧肌

正常髋关节经股骨头中心层面T2WI抑脂像
1.髂骨;2.股骨头;3.股骨头凹;4.股骨颈;5.大转子

正常髋关节经股骨头中心层面PDWI抑脂像
1.股骨头;2.股骨颈;3.关节软骨;4.髋臼盂唇;5.髂骨;6.臀小肌;7.闭孔外肌

正常髋关节经股骨头后缘层面T1WI像
1.股骨头;2.大转子;3.髂骨;4.坐骨;5.闭孔内肌;6.闭孔外肌;7.臀小肌;8.臀中肌;9.臀大肌;10.内收肌群



京公网安备11010502051256号