粗隆间骨折的复位与手术技巧
2023-01-04 文章来源:山西医科大学第二医院骨科 作者:梁炳生 我要说
ー、分型
粗隆间骨折Evans-Jensen分型可预测复位后的稳定性和骨折再次移位的风险。
Ⅰ型:2部分骨折,骨折无移位。
Ⅱ型:2部分骨折,骨折有移位。
Ⅲ型:3部分骨折,由于大转子骨折块移位而缺乏后外侧支持。
IV型:3部分骨折,由于小转子或股骨矩骨折缺乏内侧支持。
V型:4骨折片段,缺乏内侧和外侧的支持,为Ⅲ型和V型的结合。

图1 典型病例xx男71岁粗隆间骨折3天Evans-Jensen分型V型4骨折片段,缺乏内侧和外侧的支持
二、手术体位与复位
1、手术体位
(1)手术体位保持患肢与躯干10-15°内收或者上身向健侧外展10-15°。
(2)需要患肢内收的手术体位,会阴部阻挡物放置在健侧。

图2 会阴柱放在健侧
(3)传统DHS等手术,不需要患肢内收10-15°时,会阴柱放在患侧。

图3 会阴柱放在患侧
2、手法复位
(1)仰卧,患肢外展外旋牵引复位,复位后将患肢内旋10-15°固定:C-B检测。
(2)复位标准:
正位:Shenton's线恢复;大粗隆尖端与股头中心在同一平面。
侧位:股干、颈、头的中心排成一条直线;


图3、图4 典型病例手法牵引复位后C-B塌示有过牵经调整后打入导针
(3)C-B验证后内收患肢,患肢内收伸直位(内收10°)髋屈曲15°,健侧肢体外展;
(4)C-B使用技术

图5
三、手术流程
1、手术入路:触及大转子,大转子顶点以上3-5cm切口,切口方向自后向前向远端倾斜,与股骨干近端的轴线及股骨前弓的解剖形态相一致;换句话说就是切口在大转子顶点上方3-5cm,开始向近端延伸,长约5cm;后平行切开筋膜,按照肌纤维方向钝性分离臂中肌显露大粗隆;
2、入钉点:在正位像上,是大粗隆顶点;在侧位像上,把大粗隆分为三个等分,是中前三分之一;C-B证实开孔器尖端对准股干的轴线是关键;

图6
3、插入导针,扩隧钻扩隧:
(1)将保护套筒和钻头套筒置于进钉点,打入导针;扩髓,在扩髓钻插入开口处后,在其外侧放置一个保护器械,防止扩髓钻向外侧偏斜破坏股骨大转子的外侧皮质;扩髓时注意扩髓钻较主钉粗2mm。
(2)髓内钉的进钉点正好位于骨折线,常规开口插入髓内钉会使骨折线张开,导致髋内翻畸形,甚至内固定失效。
处理方法之一:先点压住外侧壁,让钻头缓慢进入,为髓内钉创造通道。同时还可以使进钉点尽量靠近完整的内侧骨质,避免髋内翻畸形的出现。

图7
处理方法之二,即使术者有意将扩髓钻靠向近侧骨折块扩髓,希望能打磨掉近侧骨折块的部分骨折,但效果通常都不理想。结果通常使扩髓钻滑入骨折间隙,直接导致髋内翻。
采用过度牵引方法是关键,先不要追求解剖复位。确定导针的位置以后,图A:将扩髓钻顶住近侧骨折块的外缘,开始扩髓;图B:扩髓钻打磨掉近侧骨折块外侧。

图8 A:将扩髓钻顶住近侧骨折块的外缘,开始扩髓;B:扩髓钻打磨掉近侧骨折块外侧。
然后放松牵引,解除过牵,骨折解剖复位以后再向远端扩髓、置钉,即可获得完美的复位固定。

图9
处理方法之三:加大牵引,维持在过牵状态下进行扩髓。此时,骨折端受纵向牵引力的影像,侧向张开移位的幅度会明显减小。同时注意扩髓钻紧靠位于内测的近折端骨折块打开缺口。
4、插入主钉
(1)选择直径尽可能大的主钉,并注意与髓腔形态相匹配;主钉的固定效果主要依赖于周围完整皮质骨的的紧密接触,而不是螺钉。
(2)选择较长的主钉可以降低其远端继发性骨折的风险,同时应注意主钉是否与股骨干前弓的形态相匹配,否则容易穿破股骨干。
(3)在C-B辅助下,轻微摇摆手柄插入。插入费力时,不可直接锤击主钉与手柄连接处,以免器械变形,影响定位。
(4)选择主钉时注意要比扩髓钻减小一号,即直径减小2mm。
(5)主钉置入以后,向股骨颈置入导针时,为了减少髋内翻风险,应将颈干角控制在130度以上。为了达到这一目的,置入导针时,一方面可以适当过牵:另一方面,可适当外展。
5、C-B技术
(1)侧位:

图10 髋部标准侧位片,影像增强器与地面平行,可见股骨干与股骨头倾斜对线

图11 旋转影像增强器至与股骨颈前倾角对线(前倾角15-25度),使股骨头、股骨干与髓内钉在一条直线上

图12 典型病例x线投照角度
(2)正位
影像增强器旋转为标准的前后位,判断导针是否在正确位置。
6、主钉导针位置判定
(1)股骨近端骨折由于主钉位置不理想,导致螺钉切出是一个很常见的并发症,所以主钉导针位置至关重要!要遵循TAD,也叫尖顶距的概念。
在正位上,导针要平行股骨颈的中轴,偏下一些(位于股骨矩,股骨矩是指在股骨颈、干连接的内后方,形成致密的纵形板);
在侧位上,一定在中轴上;导针在这个位置它的尖顶距是最小的,也是最稳定的。

图13 导针位置与TAD
(2)主钉导针位置:正位导针尖端距头下5MM,导针位于颈的中央;侧位导针位于颈的中央位置。先行近端锁钉钻孔,插入防旋杆;再行拉力螺钉钻孔,攻丝,减5MM置入拉力螺钉。
(3)理论上认为,螺钉深度和中心位置距离股骨头顶点均在10m以内是最为恰当的,正侧位两者相加TAD<25mm被认为具有较高的内固定成功率,但有些创伤科医生认为TAD<20mm更为恰当。
(4)利用螺纹导针术中快速判定尖顶距

图14 尖顶距<20
7、置入近端拉力螺钉及远端锁定钉
(1)螺旋刀片是敲击打入的,不是拧进去的。
(2)按照TAD标准,尽可能地将刀片置入接近股骨头顶端的位置。
(3)如何避免螺旋刀片尾端突出较长?
①螺旋刀片的套筒必须紧贴外侧骨皮质,必须正确测深。
②在锁定螺旋刀片时需要放松骨折牵引床,避免术后骨折间隙短缩,造成螺旋刀片尾端突出。
(4)高位粗隆下骨折PFNA锁远端锁钉之前,先放松骨折牵引床之牵引,避免出现骨折间隙。
8、小粗隆骨折的处理
(1)韩国的Kim教授团队继续了Lee教授团队既往的研究,他们将"糖果包钢丝环扎技术”进行改良,先用“糖果包钢丝环扎技术"进行小转子的固定继而使用髓内钉进行转子间骨折的固定。
在股骨大转子部取一长约5-6cm纵形切口,分离小转子周围软组织,以便于实施钢丝捆扎术,先手法整复骨折,对位、对线满意后,在霍夫曼拉钩维持复位下,利用骨折环扎器在小转子近端及远端部分各套入一根钢丝,将股骨前端部分的两根钢丝拧成一股,然后将未拧紧的后边两根钢丝向下拉,使前方已拧紧的结卡在小转子前方(图15)。

图15 糖果包环前方结的打法。A,利用骨折环扎器套入两根钢丝;B,小转子前方两根钢丝拧紧成结,后方两根钢丝向后拉
(2)然后将股骨后侧的两根钢丝拧紧,完成糖果包环后方结的制作。这一糖果包样钢丝环需位于小转子骨折块与髂腰肌之间,这样牵拉钢丝时就可将两者同时牵拉,共同复位。之后我们在C臂透视铺助下通过牵拉钢丝环进行小转子的复位(图16)

图16 后方2根钢丝拧紧
(3)由于受周围肌肉牵拉的作用,小转子骨折块有向上向内侧以及向前移位的趋势,可以对糖果包样钢丝环向下向外的牵拉调整以获得小转子的解剖复位。小转子复位满意以后,我们根据传统方式打入股骨近端髓内钉,最后将糖果包样钢丝环股骨前后方的结紧紧缠绕于股骨近端,完成最终的固定(图17)。

图17 最后将糖果包样钢丝环股骨前后方的结紧紧缠绕于股骨近端,完成最终的固定
四、术后处理
1、良好的术后镇痛、良好的睡眠;
2、抗凝,预防DVT;
3、呼吸道管理,训练协助患者咳嗽咳痰;
4、术后行患者功能锻炼,肌力训川练,早期下地负重;
5、高度重视隐性失血;
6、德国的诊疗常规:术后第1天病人床边自主站立,第2~4天自主行走20米左右,为了掌握平衡可以用拐杖或带轮子的助步器,5~7天出院,平均PFNA住院天数12天,总平均住院天数7.3天,而且从欧洲的经验来看,更让人担心的是术后长期卧床的并发症。
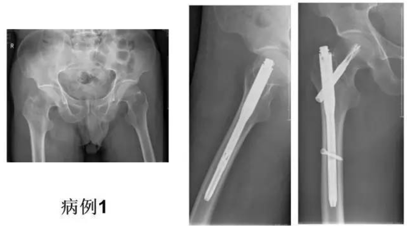
五、典型病例
Xxx,男,71岁,右股粗隆间骨折3天,Evans-Jensen分型V型4分骨折块骨折;2020.2.28手术。


图18、图19



京公网安备11010502051256号