图文详解 | 跟骨骨折的损伤机制和分型
2023-08-25 文章来源:整理 作者:骨科在线 我要说
跟骨骨折是足部最常见的骨折,占足部跗骨骨折的60%~70%,好发生于中壮年,男性多于女性。直接暴力可以造成跟骨任何部位骨折。而跟骨关节内骨折则多是由高处坠下,跟骨受到距骨前外侧突剪切力和继发暴力而造成。跟骨与距骨之间有前、中、后3个关节。前、中关节面经常融为一体,与后关节面间有骨窦相隔,其间由软组织充填,跟骨后关节有独立的关节腔及软骨面,后关节面在人体直立时承载人体45%左右的重量,凡骨折线累及跟骨后关节面者,均称为跟骨关节内骨折,此型骨折占跟骨骨折发生率的80%左右。凡未累及跟骨后关节面的骨折,均称为跟骨关节外骨折,此型骨折可因外力挤压、肌肉强力收缩等原因造成。本文就跟骨骨折的局部应用解剖、损伤机制和骨折分型展开详细讲解,旨在帮助医生更好地诊断疾病。
一、局部应用解剖
1、骨性解剖:
跟骨是最大的一块跗骨,作为足纵弓的后侧部分,为小腿肌肉提供一个很强的杠杆支点。它支撑距骨传来的身体负荷,有四个关节面:三个与距骨相关节,一个与骰骨成鞍状关节。外侧壁,腓侧的突起为腓骨下支持带提供一个固定点,为腓骨肌腱滑车,有腓骨长短肌通过。跟腓韧带直接位于腓侧突起的后面。内侧壁主要为载距突,有三角韧带的浅层附着,下方为拇长屈肌腱走行,上方为趾长屈肌腱走行。跟骨后关节面有跟骨槽于前中关节面分开,形成跗骨管的基底部,距跟韧带由此进入,跟骨与距骨沟,在内侧为跗骨管向前延伸形成外侧跗骨窦,由多条韧带附着。跟骨的后部为跟骨结节,分为后上跟骨结节跖侧跟骨结节,跖侧结节又分为较大的内侧突,较小的外侧突。
2、放射解剖:
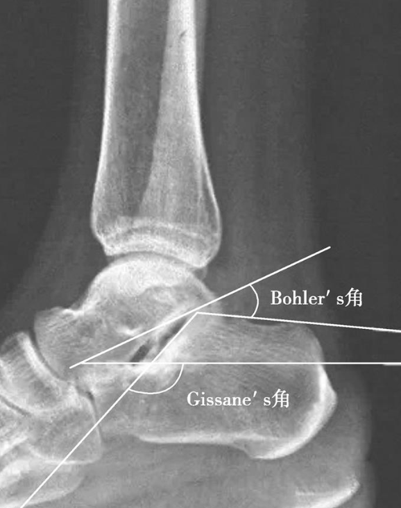
Böhler角:又称跟骨结节角,正常范围在25°~45°之间,此角缩小表明承重面及后关节面有压缩、下陷(图1)。
结节关节(Gissane)角:正常范围在125°~145°之间,跟距关节内骨折常造成此角增大或缩小(图1)。

图1 Böhler角及Gissane角
3、轴位X线片:
通常用来确定骨折类型及严重程度。判定预后情况及指导手术方案(图2)。

图2 跟骨轴位像
4、Broden’s位X线片:
指的是下肢伸直,踝微屈曲,足内旋与平板探测器约成45°,以下胫腓联合为投照中心,球管向头侧倾斜10°、20°、30°、40°摄片,可显示后距下关节由后向前的不同部分,使劈裂的跟骨后关节面清楚显示。观察距下关节后关节面,必要时还可以作健侧对比照相,对术后检查复位与内固定情况也很有帮助(图3)。

图3 Broden’s位X线片A.球管投照角度;B.踝关节内旋角度
5、CT检查及3D重建:
能够更加直观地观察其三维解剖结构及全面分析跟骨骨折后全骨形态改变。对跟距下关节面出现骨质移位、分离、凹陷性骨折的严重程度及关节内是否有碎骨片存在能做出更准确的判断(图4)。

图4 CT三维重建
二、损伤机制
跟骨骨折大部分是由坠落伤或机动车事故所致的轴向压缩力造成。除了轴向压力以外,还可以有旋转外力,如内翻外力。当轴向外力作用于足跟,距骨的外侧部分将跟骨劈成两半,内侧部分包含载距突,强大的骨间韧带等软组织使之保持原位,跟骨的其余部分发生旋转。包括跟骨结节在内的大部分骨折片向内旋转,较薄的外侧壁向外旋转。如果轴向应力继续作用,关节面会产生继发的骨折线,甚至多条骨折线。由于后关节面中央部分陷入骨松质内,跟骨的外侧壁可向外侧突出,使外踝和外侧壁受到撞击。
1、跟骨前突骨折:
两种不同损伤机制引起跟骨前突骨折。
(1) 跟骨前突撕脱骨折:
多见,常由足跖屈、内翻应力引起。暴力引起附着在跟骨前突及足舟骨、骰骨近端的分歧韧带紧张,造成跟骨前突撕脱骨折。骨折线伸入跟骰关节,骨折块较小,典型的情况下包含极少量的关节面(图5)。

图5 跟骨前突撕脱骨折
(2) 跟骨前突压缩骨折:
较少见,足强力外展挤压跟骰关节面造成。跟骨前突的压缩骨折块特别大,波及跟骰关节,常常出现骨折移位。临床表现为跟骨前突部位的触痛,容易被误诊为足踝扭伤(图6)。

图6 跟骨前突压缩骨折
2、跟骨结节骨折:
跟骨结节骨折既可以是跟骨结节后部撕脱骨折也可以是跟骨后上部鸟嘴样骨折,其损伤机制主要是由于小腿三头肌突然猛烈收缩牵拉跟腱附着部所致,少数是由直接暴力引起。跟骨结节骨折临床表现为足后跟部疼痛和肿胀。跟骨结节上方只有少量的软组织覆盖,被撕脱的骨块移位可能会危及周围的皮肤(图7)。

图7 跟骨结节骨折
3、跟骨体骨折:
跟骨体骨折:跟骨受到纵向暴力引起,骨折线常常呈纵行或者斜行经过后距下关节面的后方,形成简单或者粉碎骨折(图8)。

图8 跟骨体骨折
4、跟骨载距突骨折:
足内翻位时,载距突受到距骨内下方冲击而引起,极少见。一般移位不多,如有移位可用[插图]指将其推归原位,用短腿石膏固定4~6周(图9)。

图9 载距突骨折
5、关节内骨折:
生理状态下,距下关节运动轴呈偏心性,跟骨处于自然外翻位,距骨的前外侧突骑跨于跟骨的Gissane角上。跟骨关节内骨折多由轴向负荷所致,受力来自于两种基本方式,即剪切力和压缩力,从而产生两种基本的骨折线,此两种力的结合产生各种类型关节内骨折。
(1) 剪切力产生骨折的机制:
当人由高处跌下时,足跟在内翻或外翻位着地。距骨可使跟骨在纵轴的内侧或外侧发生骨折。偏心性负荷自距骨传导到跟骨向后劈开距下关节面,向前劈开跟骰关节面造成。如受伤时足处于外翻位,骨折线易偏向外侧,可产生非关节内的劈裂骨折;反之,骨折线则易偏向中央部或内侧。偶然也可产生两条经过后距下关节面的骨折线,这可能是由于连续撞击的结果(图10)。

图10 剪切力作用
(2) 压缩力产生骨折的机制:
当人由高处坠落时,足踝在垂直位着地,使跟骨体发生压缩型骨折。轴向负荷劈裂中距下关节面和内侧载距突骨块在外侧跟骨壁上,则产生“Y”形骨折。“Y”形骨折线的后支方向是可变的,水平延伸到跟骨结节则产生“舌状”骨折。若向垂直方向延伸,则产生关节压缩型骨折,前方产生一个具有特征性的骨块。此骨块一般与关节面保持较好的连接,但在有跟骰关节面骨折时,可发生脱位(图11)。

图11 压缩力作用
(3) 剪切力和压缩力共同作用产生的骨折:
依跟骨受剪切力作用的部位和压力对各骨块的压缩情况而定,剪力引起的骨折,骨折线的位置变化基本可分为三种:
① 通过跟骨后距下关节面的外侧方,此时将不发生继发压缩,而产生一种跟骨体部的关节外骨折,由包含跟骨后距下关节面的支持柱骨块和跟骨结节骨块组成。
② 通过跟骨后距下关节面,产生两部分骨折,由部分跟骨后距下关节面的支持柱骨块和部分跟骨后距下关节面的跟骨结节骨块组成。而继发压力则产生了三部分骨折,由部分跟骨后距下关节面的支持柱骨块、结节骨块和部分跟骨后距下关节面的跟骨外侧骨块组成。
③ 通过跟骨沟继发压应力产生两部分骨折,由跟骨后距下关节面的结节骨块和支持骨块(此时为载距突骨块)组成。
(4)牵拉力产生骨折的机制:
腓肠肌用力收缩时,足踝部在跖屈位突然受到使足背伸的暴力,则可产生跟骨后结节撕脱骨折。若足突然内翻和跖屈,分歧韧带强力牵拉,便产生前突骨折。
三、骨折分型
跟骨骨折是足部最常见的骨折,占足部骨折的29.77%,占全身骨折的4.01%,79.1%为关节内骨折。跟骨骨折至今能查到的分型有10余种。按最近5年文献报道,常用者主要为Sanders分型、Essex-Lopresti分型、AO分型、按照解剖部位分型等。
1、Sanders分型:
Sanders分型于1993年由Sanders提出,根据跟骨骨折的CT情况分型。这种分型主要反映了跟骨后关节面的损伤程度,对治疗方法的选择和判断预后有重要意义。此分型基于冠状位和轴位CT表现,在冠状面上选择跟骨后距下关节面最宽处,从外向内有两条线将其分为相等的三等部分,分别由A、B代表等分点,距下后关节面和载距突之间为C点,跟骨后距下关节面上的骨折线以其相对应的A、B、C点代表骨折线的位置。这样,就可能有四部分骨折块,三部分关节面骨折块和一部分载距突骨折块(图12)。

图12 Sanders分型
在冠状面上选择跟骨后距下关节面最宽处,从外向内有两条线将其分为相等的三等部分,分别由A、B代表等分点,距下后关节面和载距突之间为C点,跟骨后距下关节面上的骨折线以其相对应的A、B、C点代表骨折线的位置。这样,就可能有四部分骨折块,三部分关节面骨折块和一部分载距突骨折块根据后关节面骨折的情况,将跟骨关节内骨折分为四型:
Ⅰ型:无移位的关节内骨折(移位<2mm),不考虑后关节面骨折线的数量和位置。
Ⅱ型:跟骨后关节面为两部分骨折(即有一条骨折线两个骨折块),移位≥2mm,根据骨折线的位置又分为ⅡA、ⅡB和ⅡC型。
Ⅲ型:跟骨后关节面有两条骨折线三个骨折块,又分ⅢAB、ⅢBC及ⅢAC三个亚型。各亚型均有一中央塌陷骨折块。
Ⅳ型:跟骨后关节面为四部分骨折块及以上的移位骨折,包括严重的粉碎性骨折(图13)。

图13 跟骨关节内骨折的Sanders分型
A. Ⅰ型 无移位的关节内骨折
B. Ⅱ型 后关节面的两部分骨折,移位≥2mm:Ⅱa骨折线偏外侧
C. Ⅱb 后关节面的两部分骨折,骨折线偏内侧
D. Ⅱc 骨折线邻近载距突
E. Ⅲ型 后关节面的三部分骨折:Ⅲab,Ⅲac,Ⅲbc
F. Ⅳ型 后关节面四部分以上骨折
2、Essex-Lopresti分型:
Essex-Lopresti分型基于侧位X线片,根据骨折是否累及距下关节面分为两型:Ⅰ型未累及距下关节;Ⅱ类累及距下关节。根据Ⅱ型骨折继发骨折线的走行,又将其分为舌形骨折和关节面塌陷形骨折。这种分类方法简单易用,但关节面塌陷性骨折太过笼统,不利于不同骨折类型的评价和临床预后(图14)。

图14 Essex-Lopresti分型
A. Ⅰ型:骨折未累及距下关节A跟骨结节骨折:A1鸟嘴样骨折
B. Ⅰ型:骨折未累及距下关节,A2内缘撕脱骨折
C. Ⅰ型:骨折未累及距下关节,A3垂直骨折
D. Ⅰ型:骨折未累及距下关节,A4水平骨折
E. Ⅰ型:骨折未累及距下关节,B累及跟骰关节,B1鹦鹉鼻型
F. Ⅰ型:骨折未累及距下关节,B2其他类型
G. Ⅱ型:骨折累及距下关节,A舌形骨折,A1继发性骨折线水平向后行至跟腱止点的远侧,舌形骨片包括跟骨体上面和后关节面的外侧部
H. Ⅱ型:骨折累及距下关节,A2继发性骨折线水平向后行至跟腱止点的远侧,舌形骨片包括跟骨体上面和后关节面的外侧部。舌形骨折,继发性骨折线走向跟骨结节后缘,移位不明显
I. Ⅱ型:骨折累及距下关节,A3继发性骨折线水平向后行至跟腱止点的远侧,舌形骨片包括跟骨体上面和后关节面的外侧部。舌形骨折,骨片前端陷入跟骨体松质骨内,后端上翘,骨折块分离移位
J. Ⅱ型:骨折累及距下关节,B关节面塌陷骨折,B1继发性骨折线经跟骨体部行至后关节面与跟腱的附着点之间。塌陷形骨折,继发性骨折线经过体部走向关节后面,无明显移位
K. B2继发性骨折线经跟骨体部行至后关节面与跟腱的附着点之间。塌陷形骨折,关节面骨片移位,陷入跟骨体松质骨内
L. B3继发性骨折线经跟骨体部行至后关节面与跟腱的附着点之间。塌陷形骨折,原始骨折线处分离
3、AO/OTA分型:
目前,由于AO骨折分型系统已发展成一套科学规范被普遍应用并被普遍接受的分型系统,对骨折的诊治有一定的指导作用,近年来已逐渐成为人们广泛使用的分型标准(图15)。


图15跟骨骨折OA/OTA分型
A. A型 跟骨撕脱或跟骨前部或跟骨结节骨折A1 跟骨前部骨折:A1.1 非粉碎骨折
B. A型 跟骨撕脱或跟骨前部或跟骨结节骨折A1 跟骨前部骨折:A1.2 粉碎骨
C. A型 跟骨撕脱或跟骨前部或跟骨结节骨折A2 跟骨载距突骨折:A2.1 非粉碎骨折
D. A型 跟骨撕脱或跟骨前部或跟骨结节骨折A2 跟骨载距突骨折:A2.2 粉碎骨折
E. A型 跟骨撕脱或跟骨前部或跟骨结节骨折A3 跟骨结节骨折:A3.1 非粉碎骨折
F. A型 跟骨撕脱或跟骨前部或跟骨结节骨折A3 跟骨结节骨折:A3.2 粉碎骨折
G. B型 跟骨关节外跟骨体骨折:B1 非粉碎骨折
H. B型 跟骨关节外跟骨体骨折:B2 粉碎骨折
I. C型 波及后关节面的跟骨骨折:C1 无移位骨折
J. C型 波及后关节面的跟骨骨折:C2 两部分骨折
K. C型 波及后关节面的跟骨骨折:C3 三部分骨折
L. C型 波及后关节面的跟骨骨折:C4 ≥四部分骨折
4、按解剖部位分型(图16):

图16 按解剖部位分型A.跟骨前突骨折;B.跟骨结节骨折;C.跟骨内侧突骨折;D.跟骨载距突骨折;E.跟骨体部骨折(不累及距下关节)
5、关节外骨折的混合分型(图17):

图17 关节外骨折的混合分型
1a:鸟嘴样骨折,不移位;
1b:跟腱附着处撕脱骨折;
1c:鸟嘴样骨折,移位;
2a,2b:跟骨内外侧突骨折;
3:载距突骨折;
4a:跟骨结节垂直骨折;
4b:骨骺撕脱骨折;
5a:前上撕脱或压缩骨折;
5b:跟骰关节骨折;
5c:远端下外侧骨折;
6a:趾伸肌腱撕脱骨折;
6b:跖筋膜撕脱骨折;
6c:后方关节囊的撕脱骨折。
引自:
{1}常见创伤骨折诊治新策略:骨的柱与环理论/王新,刘洪智,周路纲主编.—北京:人民卫生出版社,2020ISBN 978-7-117-30000-1.
{2}跟骨骨折微创治疗作者:张英泽.出版社:人民卫生出版社.出版时间:2015/11/1.ISBN:9787117213554.
{3}骨科常见疾病诊疗作者:高鹏飞.出版社:湖北科学技术出版社.出版时间:2022-03-01.ISBN:9787570618408.



京公网安备11010502051256号