经验分享:MRI在骨与关节创伤中的应用
2023-09-22 文章来源:组稿 作者:骨科在线 我要说
以磁共振现象为基础的医学影像学技术出现于20世纪70年代,并随之得到迅速发展。今天,磁共振成像(magnetic resonanceimaging,MRI)已经成为最先进的医学影像检查工具之一,广泛应用于临床并且仍在不断向前发展,有关的新技术不断出现,其设备的功能越来越多,生成的图像也越来越清晰。
骨骼肌肉系统的各种组织有不同的弛豫参数和质子密度,MRI图像具有良好的天然对比,能很好地显示骨、关节和软组织的解剖形态,加之其各种方向的切面图像,能显示X线片甚至CT不能显示或显示不佳的一些组织和结构如关节软骨、关节囊内外韧带、椎间盘和骨髓等。MRI能很好分辨各种不同的软组织,在MRI图像上脂肪、肌肉、肌腱、神经、血管以及肿瘤组织都有不同的信号特点。
一、骨折
1、长骨骨折:
MRI诊断:
①长骨骨折一般不做MRI检查,其在显示骨折线方面不及CT,但可清晰显示骨折断端及周围出血、水肿和软组织损伤情况。骨折线在T1WI及T2WI上均表现为线状低信号影,其周围可见边界模糊的T1WI低信号及T2WI高信号影,为骨折后骨髓内的水肿或渗出改变(图1)。MRI不能反映皮质骨内骨折线,但若发生骨折端分离,可见低信号骨皮质内有条形或不规则中等信号或高信号改变,为出血所致。如骨折靠近关节,可见关节内积液。

图1 长骨骨折(A)、(B)示股骨外侧髁骨骺可见条状长T1短T2信号影,(C)PD-SPAIR(质子密度脂肪抑制序列)示邻近骨质呈高信号水肿改变。
②骨挫伤又称隐匿性骨折,是外力作用引起的骨小梁断裂和骨髓水肿、出血,无骨皮质中断。在平片和CT上常无异常发现。骨挫伤区在T1WI上表现为模糊不清的低信号区,在T2WI上表现为不规则高信号或线状低信号周围高信号,抑脂序列呈明显高信号(图2)。若伴有出血,信号不均匀,且呈现血肿的MRI图像变化规律。病变一般局限于干骺端,也可延伸至骨干。常伴有附近韧带的撕裂。

图2 骨挫伤右股骨内侧髁见模糊片状长T1长T2信号影,PD-SPAIR病变呈明显高信号。
2、脊柱骨折:
MRI诊断
①椎体爆裂骨折。椎体呈楔形,矢状位和冠状位显示椎体上下缘皮质骨低信号带失去完整性,凹凸不平或部分嵌入椎体。椎体内信号改变,T1WI上呈低信号,T2WI上呈高信号,为渗出和水肿所致。骨折线于T1WI及T2WI上均表现为线状低信号影(图3),横断位可见骨折片向各个方向移位。

图3 椎体爆裂骨折胸7椎体楔形变,T1WI上信号减低,T2WI上信号增高,内见线状短T1长T2信号影,胸5~胸8椎体水平脊髓内见条片状长T1长T2信号影。
②椎体单纯压缩骨折。矢状位椎体呈楔形,椎体信号改变同爆裂骨折。
③椎体骨挫伤。椎体形态不变,椎体内可见长T1、长T2信号(图4)。

图4 椎体骨挫伤胸5椎体内见斑片状长T1长T2信号影,椎体形态未见异常。
④骨折脱位。脱位的椎体或突入椎管的游离骨折片可压迫和损伤脊髓(图5)。

图5 脊柱骨折脱位颈6椎体向前移位,颈7椎体楔形变,T2WI信号增高,颈6~7椎间盘形态不规则,后方脊髓受压扭曲。
⑤椎间盘损伤。呈退行性变,信号变低,可合并椎间盘突出。
⑥韧带损伤或断裂。表现为韧带低信号影失去连续性,其内可见因出血或水肿导致的不同程度的高信号影。
⑦脊髓损伤。骨折后硬膜囊和脊髓可受压、移位,严重时脊髓内可见水肿、出血甚至脊髓横断。
知识点:
①MRI对附件骨折的显示有一定局限性。
②骨折急性期局部有出血、水肿,MRI可根据骨髓信号改变区分陈旧性与新鲜骨折。
③脊柱外伤性骨折应注意与脊椎病变所致的椎体压缩变形鉴别。后者常见椎体或附件骨质破坏,椎间盘受累时可见椎间盘破坏或消失,椎旁可见脓肿或软组织肿块影。
二、软骨损伤
1、关节软骨损伤:
MRI诊断
关节软骨皱褶或连续性中断,中等信号的关节软骨内有高信号区,甚至关节软骨及软骨下骨塌陷呈阶梯状,软骨下骨松质内可见局部水肿和出血(图6),可合并软骨下骨关节内骨折。如有软骨撕脱,可形成关节内游离体。

图6 关节软骨损伤冠状位T1WI示胫骨内侧髁关节软骨缺失,骨性关节面欠光滑,关节面下骨质内见大片状稍长T1信号影。
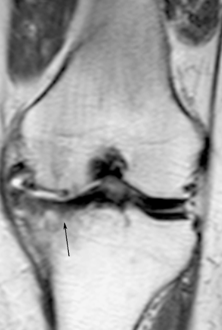
2、半月板损伤:
MRI诊断
半月板的MRI检查主要取矢状位和冠状位,前者有利于显示前后角,后者适于观察体部。正常半月板在T1WI及T2WI上均为均匀的低信号,半月板损伤表现为相对的高信号影。
病情根据高信号影的形态以及是否延及半月板上下缘分为三级:
Ⅰ级,表现为灶性圆形或椭圆形高信号影,不与关节面相接触(图7A);
Ⅱ级,水平线样高信号,可延伸至半月板的关节囊缘;
Ⅲ级,高信号达到半月板的关节面(图7B)。
桶柄样撕裂(图7C):通常发生于内侧半月板,是一种特殊的垂直纵形撕裂伴有分离,其内部的碎片(柄)移向膝关节髁间切迹,半月板体部正常的“蝴蝶结”表现消失,其周围部(桶)可表现为缩小的三角形,形成小半月板。

图7 半月板损伤。
三、关节脱位
MRI诊断:
分为完全脱位和部分脱位。前者表现为组成关节诸骨的对应关系完全脱离或分离;后者表现为相对应的关节面失去正常关系,关节面分离、移位、关节间隙宽窄不均(图8)。可伴有关节骨、软骨损伤,关节囊内可见积液。MRI还有助于发现关节内碎片,脱位关节周围韧带、肌腱损伤。

图8 关节半脱位矢状位T1WI示寰椎前弓与枢椎齿突间距增宽,约5.5mm。
四、软组织损伤
1、血肿:
MRI诊断
血肿在MRI上的信号强度取决于出血的时间,血肿于急性期呈低信号,在亚急性期和慢性早期呈片状、环状高信号,在慢性期呈低信号。增强之后血肿一般不强化,但部分血肿在其机化的早期阶段,可出现明显的强化。
2、肌腱与韧带损伤:
MRI诊断
正常的韧带和肌腱在T1WI及T2WI上均表现为条带状低信号影,边缘清楚光滑,在不同体面成像时可显示其完整或斜行或断面的影像。损伤的韧带和肌腱,由于出血和炎性水肿,内可见高信号,尤其在T2WI上信号明显增高(图9)。根据损伤程度,可分为挫伤、部分断裂和完全断裂。挫伤表现为单纯的肿胀,但连续性仍完整;部分断裂表现为肌腱和韧带肿胀,其内出现横行线状或不规则的高信号影,但仍可见部分低信号的纤维影保持连续性;完全断裂则表现为肌腱和韧带连续性完全中断,断端可回缩,断裂处可为血肿或炎性组织填充。可合并肌腱、韧带附着处的撕脱骨折。关节附近的韧带损伤常合并关节内出血或积液。

图9 矢状位T2WI示后交叉韧带增粗、信号升高。
引自:
[1]MRI读片指南.作者:王书轩,范国光.出版社:化学工业出版社.出版时间:2013-03-01.ISBN:9787122161369.
[2] 骨与关节疾病影像诊断学(第2版).作者:梁碧玲.出版社:人民卫生出版社.出版时间:2016/10/1.ISBN:9787117230384.



京公网安备11010502051256号