腰椎间盘突出症的内镜手术治疗
2023-09-25 我要说
腰椎间盘突出症是最常见的退行性病变之一,主要是由于腰椎间盘发生不同程度的退行性改变后,在外力的作用下,纤维环破裂,髓核组织从破裂之处突出于后方,甚至脱出进入椎管内,导致相邻脊神经根遭受压迫和刺激,产生腰部及下肢的疼痛、麻木症状。以腰4~5、腰5~骶1发病率最高,占90%以上。一般首先行保守治疗,症状严重者需要手术。随着内镜器械的不断改进和技术的飞速进步,内镜手术治疗腰椎间盘突出症与经典开放手术相比,创伤大大减少、提高疗效的同时缩短了住院时间,是微创脊柱外科发展的方向。
一、诊断
(一)临床表现
1.腰痛:90%的患者表现为首发症状,可伴有臀部疼痛。
2.下肢放射痛:90%以上的患者表现为坐骨神经痛。典型症状是从下腰部向臀部、大腿后方、小腿外侧直到足部的放射痛,在喷嚏和咳嗽时疼痛会加剧。多为一侧,少数可表现为双侧疼痛。
3.马尾神经症状:突出的组织压迫马尾神经,表现为大、小便障碍,会阴和肛周感觉异常。严重者可出现大小便失禁及双下肢不完全性瘫痪。
(二)体征
1. 一般体征
包括腰椎侧凸,腰部活动受限,压痛、叩痛及骶棘肌痉挛等。
2. 特殊体征
① 直腿抬高试验及加强试验:患者仰卧,伸膝,被动抬高患肢。正常人神经根有4mm滑动度,下肢抬高到60°~70°始感腘窝不适。腰椎间盘突出症患者神经根受压或粘连使滑动度减少或消失,下肢抬高在60°以内即可出现坐骨神经痛,称为直腿抬高试验阳性。
② 股神经牵拉试验:患者俯卧,伸膝,被动抬高患肢,使髋关节处于过伸位,过伸到一定程度出现大腿前方股神经分布区域疼痛时,则为阳性。主要用于检查腰2~3和腰3~4椎间盘突出的患者。
3. 神经系统检查
① 感觉障碍:早期表现为皮肤感觉过敏,逐渐出现麻木、刺痛及感觉减退。一般感觉障碍范围较小,若马尾神经受累则感觉障碍范围较广泛。
② 肌力下降:腰5神经根受累表现为踝及趾背伸力下降,骶1神经根受累时,趾及足跖屈力下降。
③ 反射改变:有较大定位意义,如腰4神经根受累时,可出现膝跳反射障碍;腰5神经根受损时对反射无影响;骶1神经根受累时则出现跟腱反射障碍。
(三)影像学检查
1. 腰椎X线片了解有无脊柱偏斜、脊柱侧凸。过伸过屈位可以了解有无滑脱等不稳定。
2. CT检查可清晰显示椎间盘突出的部位、大小、形态和神经根、硬脊膜囊受压移位的情况,以及椎板及黄韧带肥厚、小关节增生肥大、椎管及侧隐窝狭窄等情况。
3. MRI检查可清晰显示椎间盘的形态及其与周围组织的关系,同时鉴别是否存在椎管内其他占位性病变,但对钙化的显示稍差。
4. 电生理检查包括肌电图、神经传导速度与诱发电位的检查。可协助确定神经损害的范围及程度,观察治疗效果。
二、临床分型
根据椎间盘病理变化,结合影像学特征和治疗方法可将椎间盘突出症做以下分型。
1. 膨隆型
纤维环部分破裂,而表层尚完整,髓核向椎管内局限性隆起,表面光滑。此类型经保守治疗大多可缓解或治愈。
2. 突出型
纤维环完全破裂,髓核突向椎管,仅有后纵韧带或一层纤维膜覆盖,表面高低不平。此类型常需手术治疗。(图1)
3. 脱垂游离型
破裂突出的椎间盘组织或碎块脱入椎管内或完全游离。此型容易导致马尾神经症状,常需手术治疗。(图2)
4. Schmorl结节型
髓核经上下终板软骨的裂隙进入椎体松质骨内,一般仅有腰痛,无神经根症状,多不需要手术治疗。另外,根据椎间盘突出髓核和椎管的横向解剖关系还可分为以下5型:中央型、旁中央型、椎间孔型、椎间孔外型、侧方型。

图1 腰椎磁共振显示中央突出型的L4-5椎间盘

图2 腰部磁共振显示脱垂游离型的L5-S1椎间盘
三、腰椎间盘突出症内镜手术治疗适应证和禁忌证
(一)适应证
1. 诊断明确,经正规保守治疗6个月无效者。
2. 保守治疗有效,但经常复发且症状严重者。
3. 突发性腰椎间盘突出症根性痛剧烈,无法缓解,并持续加剧,患者难以行动和入眠,处于强迫体位者。
4. 合并马尾神经受压表现。
5. 出现神经根麻痹,伴有肌肉萎缩、肌力下降。
6. 合并椎管狭窄者。
(二)禁忌证
1. 腰椎间盘突出症初次发作,症状较轻经非手术治疗可缓解,对其工作和生活影响不明显者。
2. 腰椎间盘突出症影像学诊断不明确者。
3. 节段性腰椎滑脱。
4. 马尾综合征。
5. 腰椎间盘手术史伴瘢痕形成。
6. 糖尿病性神经炎、神经病变。
四、腰椎间盘突出症内镜手术主要优缺点
(一)优点
1. 适应证广泛
能处理各种类型的腰椎间盘突出或脱出,可直接取出游离的椎间盘组织,同时可行腰椎间孔扩大成形术。
2. 手术安全性高
局部麻醉下手术,术者和患者术中可以随时互动,术野清晰,利于辨认和保护硬膜囊、神经根和椎管内血管丛,增加手术安全性。
3. 创伤小
对皮肤和肌肉的创伤小,皮肤切口仅1cm,出血很少,手术瘢痕形成少,术后病人恢复快,一般第二天可以下床,部分医院将其列为门诊手术。
4. 保留脊柱稳定性
最大限度保留了脊柱后韧带复合结构的完整性,有效降低术后瘢痕粘连,不影响脊柱的稳定性。
5. 手术并发症发生率低
内镜手术治疗腰椎间盘突出症的手术并发症发生率是目前所有微创脊柱外科手术中最低的。
(二)缺点
操作难度较高,学习曲线较长。不能连续、清晰地观察脊柱结构,难以确认减压程度是否足够。易损伤椎管内血管、走行神经根和硬膜囊等。常见风险包括术后椎间隙感染、神经根损伤、硬膜囊撕裂、椎管内出血及瘢痕粘连等。
五、腰椎间盘突出症内镜手术入路
目前治疗腰椎间盘突出症常用的脊柱内镜入路主要有经椎间孔入路和经椎间盘入路两种,其原理和特点并不相同,最佳的适用范围也有区别,应针对患者的具体情况个体化选择最合适的入路。术前评估应包括以下内容:
1. 症状和体征。
2. 正侧位X线片确定椎间孔形态和大小、髂嵴高度和脊椎形态,以确定穿刺部位和方向。
3. 腰椎过伸过屈动态X线片判定腰椎稳定性。
4. 行腰椎CT和MR检查,观察腰椎问盘突出部位和程度、是否伴有腰椎管狭窄和椎间盘钙化,以确定手术方式、工作通道的置入位置与方向。
(一)经皮内镜下椎间孔入路腰椎间盘突出切除术
经皮内镜下椎间孔入路腰椎间盘突出摘除术(transforaminal percutaneous endoscopic lumber disectomy,TF-PELD)是在局麻下经腰椎侧后方入路进入椎间盘内或神经根与硬膜囊前间隙,直接摘除脱出或游离的椎间盘组织,一般不需特别牵拉神经根和硬膜囊,对椎管内结构干扰较小,不易导致传统后路经椎板间隙入路所致的椎管内粘连。手术步骤如下:
1. 体位
患者取侧卧位,患侧在上,健侧腰部垫高,以健侧髂骨刚离开床面为宜。(图3)
2. 手术入路
取后外侧入路,穿刺点L3~4为后正中线旁开 8~10cm,L4~5为 10~12cm,L5~S1为12~14cm,肥胖者各节段较普通患者多旁开1~2cm。(图 4)
3. 麻醉
使用1%利多卡因40ml进行逐层局部浸润麻醉,包括皮下组织、深筋膜和关节突关节。(图 5)
4. 穿刺
以L5~S1为例,根据髂嵴的高低,针尾向头侧倾斜约 40°~60°,外展角约 30°~50°,定位针在正位X线透视下刚好位于后背正中的棘突连线上,侧位X线透视下则紧贴上关节突腹侧,下缘位于下位椎体的后上缘。(图6)
5. 穿刺点
做大约1cm皮肤切口,用导丝置换穿刺针,沿导丝用扩张器逐级扩大软组织。(图7、图8)
6. 置入定位器
在上关节突上打孔,退出扩张器,再磨除部分关节突关节,逐级扩大椎间孔。(图9~图13)

图3 定位板前后位X线片标定靶点和穿刺方向
A. 术前定位板标记体表位置;B.定位板X线射片投影图

图4 标记穿刺线
A. L5-S1椎间盘平面;B.棘突中线连线;C.穿刺假想体表投影

图5-图9 A:使用利多卡因进行局部分层麻醉(皮肤、皮下组织、筋膜、关节突周围);B:穿刺针X线片侧位投影图;C:穿刺到位后交换导丝;D:导丝引导下通过导杆、三级套管扩张肌肉及软组织;E:导丝引导下交换Tom针,定位上关节突

图10 Tom针定位上关节突
A. Tom 针定位上关节突;B.Tom 针X 线片侧位投影图;C.Tom 针X线片前后位投影图

图11-图13 6mm扩孔骨钻扩孔过程中;6mm扩孔骨钻侧位X线片投影图;8mm扩孔骨钻前后位X线片投影图
7. 置入工作套管
将7.5mm外径的工作套管置入椎间孔,并沿工作套管放入椎间孔镜。(图14、图15)

图14-图15 工作套管到位,X线片投影图显示套管头端位于椎管腔内;内镜下手术操作
A. 侧位;B.前后位
8. 镜下操作
采用一次性双极射频手术刀头、Punch钳、小直钳、磨钻依次切除或修整部分肥厚或钙化的黄韧带、椎体后缘增生的骨赘、椎体后缘对神经根造成压迫的外层纤维环及其边缘的硬化或骨化结构、与后纵韧带粘连的增生结缔组织,对神经根背侧和腹侧进行全面的减压松解,特别是神经根下方的微小硬化性组织。(图16~图21)

图16 内镜下显示套管内视野中间纤维环

图17-图20 内镜下显示套管内视野中间纤维环;内镜下小直钳取髓核;取出部分髓核后张力下降,神经张力间接下降;转动工作套管显露硬膜囊和周围组织
9. 双极射频使破裂的纤维环消融皱缩成形。观察可见硬膜囊自主搏动,神经根表面血运明显改善,血管充盈,神经根复位,术中行直腿抬高试验,可见神经根被牵拉后滑移自如。(图22、图23)
10. 旋转工作套筒检查视野内无出血、残余碎片等,确认无异常后移除内镜及工作套管。切口缝合1~2针。(图24)
11. 术后复查MRI可见突出的椎间盘被摘除。(图25)

图21-图24 取出的髓核组织(中间部分硬化);下行根头端减压;硬膜囊、下行根减压后神经松解,博动良好;手术切口(大小约8mm)

图25 术前和术后MRI磁共振对比
A.术前腰椎MRI轴位;B.术后腰椎 MRI轴位
(二)经皮内镜下椎板间入路腰椎间盘切除神经减压术
经皮内镜椎板间入路椎间盘切除术(percutaneous endoscopic interlaminar discectomy,PEID)主要用于高髂嵴和L5横突肥大的患者。PELD手术难以处理的L5~S1椎间盘突出和脱出患者。手术步骤如下:
1. 患者取俯卧位,下肢降低并屈髋、屈膝。(图26)
2. 透视定位病变节段,于后正中患侧旁开约1.0cm处按对应椎板间隙标记穿刺点(图27),术区皮肤常规消毒铺无菌巾。
3. 于穿刺点以0.5%利多卡因行局部浸润麻醉,以18G穿刺针向患侧关节突内侧及椎板间隙穿刺,根据椎间盘突出位置适当调整穿刺针在椎板间隙的位置。
4. 穿刺至黄韧带外,插入导丝,拔出穿刺针,沿进针点做7~8mm皮肤小切口,用扩张套管逐级扩张,待序列扩张后,安装工作套管(图28),与内镜及冲洗系统相连接。(图29)

图26 患者俯卧体位

图27-图30 术前透视定位;安装工作套管;连接内镜和冲洗;
内镜下磨除关节突关节下方,尽量向侧方显露
5. 黄韧带扩孔,直视镜下沿黄韧带裂隙将锥形工作套管轻柔地旋转入椎管,可见破碎的髓核组织及纤维环组织。(图30~图35)
6. 确定髓核组织后,用镜下髓核钳将突出髓核组织切除(图36~图40),直至清晰地看到后纵韧带和神经根周围脂肪组织。
7. 双极射频刀头电极在直视下行残存髓核组织消融止血,纤维环破口皱缩成形。(图41)
8. 减压充分的标志是可在镜下看到神经根及硬膜囊随呼吸波动(图42),仔细探查无脱出髓核残留后,退出内镜系统,伤口缝合

图31-图34 篮钳咬除硬膜表面黄韧带;篮钳咬除黄韧带并注意隆起的硬膜囊;
剥离子插入突出髓核并开始旋转工作套管;
继续旋转工作套管,借助套管头端将神经从髓核表面移开

图35-图38 下行根和硬膜囊已经从髓核表面移开;髓核摘除,白色为突出髓核;
髓核摘除过程中;髓核被拖出过程中

图39-图40 大块髓核被拖出;大块髓核被清除过程中

图41-图42 双极射频止血,纤维环成形;髓核摘除后硬膜囊和下行根减压松解
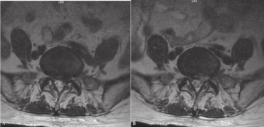
9. 术后复查MRI。(图43、图44)

图43 术前和术后MRI轴位对比
A. 术前腰椎MRI轴位;B.术后腰椎MRI轴位

图44 术前和术后MRI核磁共振矢状位对比
A. 术前腰椎MRI矢状位;B.术后腰椎MRI矢状位
参考文献:
[1] Hoogland T,Schubert M,Miklitz B,et al.Transforaminal posterolateral endoscopic discectomy with or without the combination of a low-dose chymopapain:a prospective randomized study in 280consecutive cases.Spine (Phila Pa 1976),2006.31(24):E890-897.
[2] Hoogland T,van den Brekel-Dijkstra K,Schubert M,et al.Endoscopic transforaminal discectomy for recurrent lumbar disc herniation:a prospective,cohort evaluation of 262consecutive cases.Spine (Phila Pa 1976),2008.33(9):973-978.
[3] 周跃.经皮椎间孔内窥镜技术的现状与未来.中国脊柱脊髓杂志,2009,19(5):326-328.
[4] 李长青,周跃,王建,等.经皮椎间孔内窥镜下靶向穿刺椎间盘切除术治疗腰椎间盘突出症.中国脊柱脊髓杂志,2013,23(3):193-197.
[5] 白一冰,徐岭,赵文亮,等.经皮腰椎间孔镜手术的穿刺定位策略 .中国微创外科杂志,2012,12(6):540-543.
[6] 张亚卓.内镜神经外科学(第2版).人民卫生出版社.出版时间:2017/5/1.ISBN:9787117243025
[7] 白一冰,李嵩鹏,王力文,等.改良 TESSYS 技术治疗腰椎神经根管狭窄症 .颈腰痛杂志,2015,36(1):16-19.
[8] Kreiner DS,Shaffer WO,Baisden JL,et al.An evidencebased clinical guideline for the diagnosis and treatment of degenerative lumbar spinal stenosis (update).Spine J,2013.13(7):734-743.
[9] Komp M,Hahn P,Merk H,et al.Bilateral operation of lumbar degenerative central spinal stenosis in full-endoscopic interlaminar technique with unilateral approach:prospective 2-year results of 74patients.J Spinal Disord Tech,2011.24(5):281-287.
[10] Komp M,Hahn P,Merk H,et al.Bilateral operation of lumbar degenerative central spinal stenosis in full-endoscopic interlaminar technique with unilateral approach:prospective 2-year results of 74patients.J Spinal Disord Tech,2011.24(5):281-287.
声明:本文来源于专业期刊和书籍,由骨科在线编辑综合整理,如涉及版权问题请联系我们。



京公网安备11010502051256号